Advertisement intended for health care professionals

l

HVLPD-Clinical

HVLPD-Clinical
#00061899
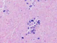
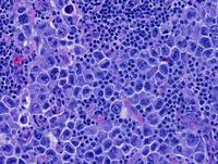
Author: Chan-Sik Park, MD
Category: Lymphoma: Mature B-cell and Plasma cell Neoplasms > Virus-associated lymphoproliferations
Published Date: 10/23/2018

see reference case on Hydro-vacciniforme-like lymphoproliferative disorder.

Advertisement intended for health care professionals