Advertisement intended for health care professionals

l

EBV-driven HIV-associated diffuse large B-cell lymphoma causing profound lactic acidosis

EBV-driven HIV-associated diffuse large B-cell lymphoma causing profound lactic acidosis
#00060660
Author: Bonnie C. Prokesch; Michael U. Shiloh
Category: Lymphoma: Mature B-cell and Plasma cell Neoplasms > Virus-associated lymphoproliferations
Published Date: 05/03/2016

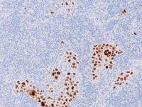
A 25-year-old male with AIDS (CD4 count, 59/mm 3) presented with fever and fatigue. He was thrombocytopenic (platelet count, 9 × 10 9/L) and had a lactic acid level of 9.0. mmol/L. Examination was notable for hepatosplenomegaly without lymphadenopathy. Lactic acid peaked at >31 mmol/L associated with an elevated lactate dehydrogenase of 27 920 IU/L on the fourth hospital day. Bone marrow biopsy revealed large lymphoma cells positive for CD20. Soon after admission, he developed a papular erythematous rash limited to the face. Skin biopsy of his right cheek revealed sheets of lymphoid cells infiltrating the dermis (panel A, hematoxylin and eosin) with cells expressing CD79, PAX5, and CD20 (not shown) with positive Epstein-Barr virus (EBV) nuclear staining (panel B, in situ hybridization), consistent with EBV-driven HIV-associated diffuse large B-cell lymphoma.Profound lactic acidosis is a rare complication of lymphoma. In the small number of reported cases, lactic acidosis resolved only after initiation of chemotherapy to induce cytoreduction of the underlying malignancy. A majority of patients, like this one, quickly succumb to the disease. The pathogenesis of lactic acidosis in hematologic malignancies remains unclear, although it portends a poor prognosis when present.

Advertisement intended for health care professionals