Advertisement intended for health care professionals

l

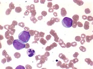
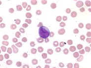
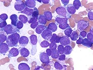
Acute Myeloblastic Leukemia With Maturation - 1.

Acute Myeloblastic Leukemia With Maturation - 1.
#00002276
Author: Peter Maslak
Category: Myeloid Neoplasms and acute leukemia (WHO 2016) > Acute Myeloid Leukemia > AML not otherwise specified > AML with maturation
Published Date: 12/31/2003

Presence of azurophilic granules is evidence of some degree of myeloid maturation.

Advertisement intended for health care professionals