Advertisement intended for health care professionals

l

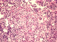
AML with maturation - 4.

AML with maturation - 4.
#00001238
Author: Peter Maslak
Category: Myeloid Neoplasms and acute leukemia (WHO 2016) > Acute Myeloid Leukemia > AML not otherwise specified > AML with maturation
Published Date: 12/01/2010

Blasts are increased. There is some evidence of maturing myeloid elements as well.


Advertisement intended for health care professionals