Advertisement intended for health care professionals

Primary cutaneous small medium T-cell lymphoproliferative disorder

Author:  Girish Venkataraman, MD, MBBS, 10/26/2018
Category: Lymphoma: Mature T and NK cell lymphoproliferations > Cutaneous T-cell Lymphoma > Primary cutaneous CD4+ small/medium T-cell lymphoproliferative disorder (WHO 2017)
Published Date: 10/26/2018

The patient is a 60-year-old woman with a nodule in the right neck which was biopsied. A second pathology opinion is being sought at this time regarding the nature of this lesion.

The findings below are typical of primary cutaneous CD4 + small medium T-cell lymphoproliferative (PCSMTD) disorder.

  1. The presence of numerous associated CD20+ small B cells within the infiltrate is more supportive of the above diagnosis which is currently a provisional entity in the WHO 2016 revision with indolent clinical course in most cases.

REF:
Swerdlow SH, Campo E, Pileri SA, Harris NL, Stein H, Siebert R, Advani R, Ghielmini M, Salles GA, Zelenetz AD, Jaffe ES. The 2016 revision of the World Health Organization classification of lymphoid neoplasms. Blood. 2016 May 19;127(20):2375-90. doi: 10.1182/blood-2016-01-643569. Review.

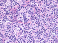
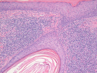
H&E sections

Sections demonstrate unremarkable epidermis with a nodular dense dermal atypical lymphohistiocytic infiltrate comprising small, medium-sized and occasional large lymphoid cells admixed with histiocytes, plasma cells and rare eosinophils.

PCSMTL-HE
#00061967
 
PCSMTL
#00061968
 
PCSMTL-HE
#00061969
 
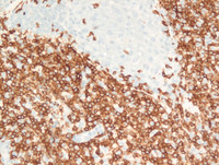
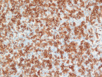
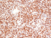
CD20 and CD3 stains

The lesion contains numerous T-cells on CD3 immunostain. However, CD20 immunostain also highlights a fair number of small B cells. The excess of background small B cells is frequently seen in this lymphoproliferative disorder compared to other  T cell lymphoproliferative processes.

PCSMTL-CD20
#00061975
 
PCSMTLCD3
#00061970
 
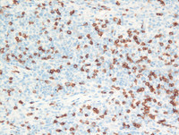
CD4 and CD8

There is marked excess of CD4 T cells compared to CD8 T cells.

PCSMTL-CD4
#00061971
 
PCSMTL-CD8
#00061974
 
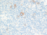
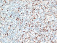
Loss of CD7

CD5 and CD7 immunostains show markedly fewer numbers of CD7 positive T cells. Both of these markers are pan T-cell antigens and based on visual estimation, there should be equal numbers of CD3, CD5 and CD7 positive lymphoid cells on immunohistochemistry.

PCSMTL-CD5
#00061972
 
PCSMTL-CD7
#00061973
 
CD30 and TCRB

CD30 immunostain highlights singly scattered rare immunoblasts and T-cell receptor beta immunostain demonstrates numerous cells maturing in numbers with CD3 and CD5 consistent with expression of T-cell receptor beta on T-cells within the infiltrate.

PCSMTL-CD30
#00061976
 
PCSMTL-TCRB
#00061977
 

Advertisement intended for health care professionals