Advertisement intended for health care professionals

Anaplastic large cell lymphoma, ALK-negative

Author:  Girish Venkataraman, MD, MBBS; Kenneth S. Cohen, MD; Justin Kline, MD, 10/25/2018
Category: Lymphoma: Mature T and NK cell lymphoproliferations > Mature T-cell Lymphomas > Anaplastic Large Cell Lymphoma, ALK negative
Published Date: 10/25/2018

The patient is a fifty-nine year old male with extensive lymphadenopathy and a right inguinal mass. An excisional biopsy was performed.

Imaging studies showed extensive lymphadenopathy throughout with evidence of osseous involvement on PET scan.

The findings of the biopsy below are characteristic of anaplastic large cell lymphoma, ALK-negative.

Learning points:

  1. Expression of CD4 and cytotoxic markers with lack of CD3 expression is frequent in this lymphoma.
  2. ALK-negative ALCL typically do much worse than ALCL, ALK+ cases.
  3. However, recent studies have identified unique genetic alterations with prognostic value within the ALK-negative ALCL subgroup of patients. These include cases with DUSP22-IRF4 rearrangement which fare nearly as well as ALCL, ALK+ while cases with TP63 rearrangements do badly.

In this case, neither of these rearrangements were present.

The patient was treated with 6 cycles of CHOEP and is currently doing well with plan for consolidative autologous stem cell transplantation.

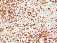
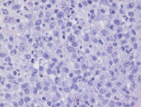
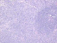
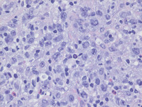
H&E images

The lymphoid material present demonstrates generalized effacement of the lymph node architecture. There is normal and capsular thickening and fibrosis with an associated atypical lymphoid infiltrate with multifocal geographic areas of necrosis. The atypical lymphoid infiltrate comprises scattered sheets of large lymphoid cells with occasional "Hallmark" cells and "lacunar-like" forms seen at places. These large cells are admixed with neutrophils, small lymphocytes and eosinophils with variable vascular proliferation in some areas. At places, there is intravascular infiltration by neoplastic cells.

ALCLHE
#00061953
 
ALCLHE
#00061954
 
ALCLHE
#00061956
 
ALCLHE
#00061955
 
B- and pan T-cell markers are negative

CD20 highlights background small B-cells but the lymphoma cells are negative for CD20. Likewise, Pax-5 highlights background small B-cells while the lymphoma cells are negative. CD3 immunostain highlights numerous background T cells but on careful examination, the lymphoma cells are also negative for CD3

ALCLCD20
#00061960
 
ALCLPAX5
#00061964
 
ALCLCD3
#00061957
 
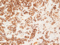
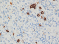
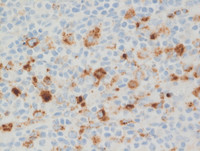
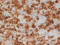
CD30

Strong CD30 expression is noted in the lymphoma cells that are also seen to be intrasinusoidal.

ALCLCD30
#00061961
 
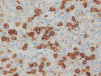
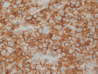
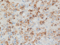
CD4 and CD8


The lymphoma cells are strongly positive for CD4 but negative for CD8. Background scattered CD8 positive lymphocytes are noted.

ALCLCD4
#00061958
 
ALCLCD8
#00061959
 
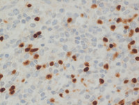
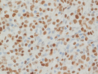
GATA3

The lymphoma cells express strong GATA3, a T-cell associated transcription factor.

ALCLGATA3
#00061962
 
Cytotoxic marker expression

All three cytotoxic markers TIA-1, granzyme B and perforin are positive in the lymphoma cells consistent with a cytotoxic phenotype in the lymphoma cells. ALCL is one of the few lymphoma that express CD4 with a cytotoxic phenotype. Most other cytototoxic processes are usually CD8 positive.

ALCLTIA1
#00061966
 
ALCLGranzyme-B
#00061963
 
ALCLPerforin
#00061965
 

Advertisement intended for health care professionals