Advertisement intended for health care professionals

MDS with germline GATA2 mutation

Author:  Girish Venkataraman, MD; Jeremy Segal, MD; Michelle LeBeau, MD, PhD; James Vardiman, MD; Jane E. Churpek, MD; Soma Das, MD, PhD, 08/13/2018
Category: Myeloid Neoplasms and acute leukemia (WHO 2016) > Myeloid neoplasms with germline predisposition >

With other organ dysfunction

>

Myeloid neoplasms with germline GATA2 mutation


Published Date: 08/22/2018

This is a 41-year-old female (Proband) who presented with easy bruising and menorrhagia and was found to have pancytopenia (WBC 3,000/uL, Hgb 6 g/dL, platelets 50,000/uL).  She denied knowledge of prior blood count abnormalities.  Records from blood counts done at age 35 showed normal CBC parameters but the differential showed lymphopenia and monocytopenia (WBC 6.5; Hgb 14; MCV 86; platelets 364; ANC 5700; absolute monocytes 0; absolute lymphs 800 (1000-4000 normal range). 

She was given packed red cell transfusions and was referred to hematology for work-up. At the time of bone marrow biopsy a few weeks later, peripheral blood counts now showed leukocytosis (WBC = 27,000 /uL, hemoglobin of 10.9 g/dL and platelet count of 102,000/uL) with absolute monocytosis . RT-PCR for BCR-ABL transcripts was negative. The bone marrow biopsy was hypercellular with trilineage dysplasia including micromegakaryocytes, and 12% blasts.  The karyotype was normal with a nonclonal abnormality, the isochromosome for the long arm of chromosome 17 noted as a clonal abnormality in an earlier pretreatment sample  - 46,XX[19]/ 46,XX,i(17)(q10)[1]. She was given a diagnosis of chronic myelomonocytic leukemia-2.  Physical examination showed extensive warts on the plantar surfaces of her feet. 

A stem cell transplant was recommended. Decitabine was initiated for disease control while awaiting donor availability, which achieved some reduction in blast count in the marrow but atypical megakaryocytes and leukopenia persisted.  Her course was complicated by subdural hemorrhage. After five cycles, she became acutely ill with new pulmonary infiltrates, a rapidly rising white blood cell count, and hemodynamic instability and passed away despite ICU interventions.Cytogenetic analysis at this time revealed an abnormal karyotype with trisomy 8 (47,XX+8[2]/46,XX[15]).

Past medical history:  She had a longstanding history of warts on her hands and feet treated with topical therapies by dermatology.  She had history of cervical dysplasia (CINI) with +high risk HPV requiring repeat colposcopies.   At age 31, she developed pulmonary Mycobacterium Kansasii and was treated with 18 months of therapy.  At age 35, she developed erythema nodosum. She had had one prior pregnancy which was complicated by preterm labor, delivering her daughter at 33 weeks gestation.

She denied any personal or family history of hearing loss or extremity swelling.

Family history: Her daughter was born with duplicated ureters, requiring surgery and was being treated for cutaneous warts.  Her father had thrombocytopenia prior to dying from colon cancer at the age of 70.  A paternal cousin died of leukemia (further details unavailable) at age 17.  Her sister was reportedly healthy but during  evaluation to serve as her stem cell donor was found to have leukopenia and anemia (see below)

Sister’s history:   During her stem cell donor evaluation at the age of 43, routine CBC showed leukopenia, anemia, and monocytopenia (WBC 3.0, Hgb 9.6,  Platelets 185; ANC 1930; Lymphocytes 1000; Monocytes 0). She denied prior blood count abnormalities.  She denied a personal history of infections, leg swelling, or anomalies. She had two sons who were healthy, one of whom had ureteral reflux.  A bone marrow biopsy was performed and was normocellular with dysplastic megakaryocytes and increased reticulin fibrosis. Cytogenetics also identified a clonal karyotype: 46,XX,der(16)t(1;16)(q21;q24)[3]/46,XX[17].  She was given a diagnosis of IPSS-R low risk MDS.  A stem cell transplant was recommended, but she was lost to follow-up until she presented two years later with gum bleeding and subdural hematoma.  CBC now showed WBC 29.1; Hgb 6.8; Platelets 19.  Bone marrow biopsy was now hypercellular with >95% blasts, consistent with acute myeloid leukemia.  Karyotype did not show clonal evolution (46,XX,der(16)t(1;16)(q21;q24)[2]/46,XX[29]).

Germline genetics:  At the time of presentation, the proband was given a clinical diagnosis of GATA2 deficiency syndrome and urgent genetic testing from skin fibroblasts identifying a novel likely pathogenic variant in GATA2 (p.A286V), which was shown experimentally shown to alter splicing.  The sister was also confirmed to carry this GATA2 variant.   

Acquired genetics:  Molecular studies were not available from the proband’s CMML.  The sister’s AML was assessed using a 35-gene panel (did not include ASXL1 at the time) and showed pathogenic mutations in NPM1 (c.860_863dup) and FLT3 (c.1770_1793dup).
 

Learning points:

  1. GATA2 is a critical hematopoietic transcription factor.  Haploinsufficiency of this gene due to monoallelic mutations or whole gene deletions causes various clinical presentations which are all now considered part of the same clinical spectrum:   

    1. Monocytopenia and mycobacterial infection syndrome (MonoMAC)

    2. Dendritic cell, monocyte, B lymphocyte and NK lymphocyte deficiency (DCML)

    3. Emberger syndrome (primary lymphedema with myelodysplasia)

    4. Familial MDS/acute leukemia alone

  2. In a patient with MDS, CMML, or AML, a history of prior monocytopenia,  mycobacterial infection, the presence of cutaneous warts and anogenital HPV, preterm labor, and family history of blood count abnormalities and/or MDS/leukemia (thrombocytopenia in father; leukemia in paternal cousin; sister with MDS) is clinically diagnostic of GATA2 deficiency syndrome.

  3. Although monocytopenia is a classic feature of GATA2 deficiency, this feature may be masked at the time of hematologic malignancy development, especially with CMML presentations, in these patients. 

  4. Osteoclast-like “pawn-ball” megakaryocytes noted in this case are clues to underlying GATA2 deficiency.

  5. Monosomy 7 and ASXL1 mutations are commonly acquired at the time of hematologic malignancy and are associated with the presence of marrow hypercellularity and CMML, but other acquired cytogenetic and molecular abnormalities are possible as seen in this case.

  6. MDS treatment in these patients is often complicated by severe infections and rapid progression to more aggressive disease.  Hematopoietic stem cell transplant at the time of initial severe infection or low grade MDS should strongly be considered.

  7. A family history of blood count abnormalities and/or MDS/leukemia in a patient with hematologic malignancies is a clue to an underlying familial MDS/acute leukemia syndrome and warrants evaluation for optimal management of the patient and their family.

  8. GATA2 deficiency must be clinically considered in all young MDS patients.  The median age at diagnosis of hematologic malignancies is 30 years old.

 

REF: Hirabayashi, S., Wlodarski, M.W., Kozyra, E. et al. Int J Hematol (2017) 106: 175.

Pedigree

Pedigree depicting proband and affected members within family.

Myeloid-NeoplasmGATA2Pedigree
#00061799
 
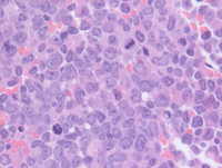
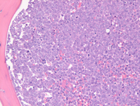
Proband-Marrow Biopsy H&E

Marrow biopsy is hypercellular with granulocytic expansion and dysplastic micromegakaryocytes at higher power.

Myeloid-NeoplasmGATA2Pedigree
#00061800
 
Myeloid-NeoplasmGATA2Pedigree
#00061801
 
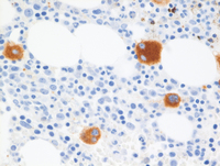
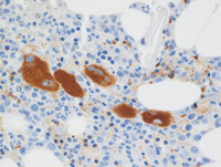
Proband-Marrow biopsy-IHC

CD61 stain highlights scattered dysplastic megakaryocytes while CD34 stain highlights increased blasts accounting for about 10-12% of all marrow cells supporting the diagnosis of CMML-2 with i(17q) abnormality which has been described in association with CMML.

Myeloid-NeoplasmGATA2Pedigree
#00061803
 
Myeloid-NeoplasmGATA2Pedigree
#00061802
 
Molecular studes Sanger sequencing electropherogram-proband

Sanger sequencing electropherogram confirming the c.857C>T likely pathogenic variant in the GATA2 gene in the proband

Myeloid-NeoplasmGATA2Sanger
#00061835
 
Molecular studies of proband IGV profile

IGV profile of NGS result depicting the c.857C>T likely pathogenic variant in the GATA2 gene in the proband.

Myeloid-NeoplasmGATA2IGVNGS
#00061836
 
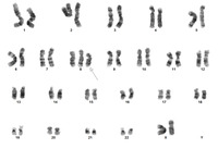
Karyotype of proband after therapy

The proband showed an abnormal karyotype with trisomy 8 after therapy. However, this cell did not show the i(17q) since it was noted only in one cell.

Myeloid-NeoplasmGATA2Pedigree
#00061828
 
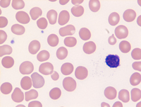
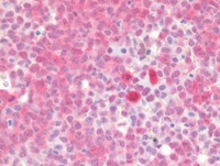
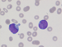
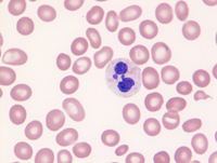
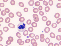
Peripheral blood-Sister of Proband

Examination of the smear reveals scattered dysplastic neutrophils with hypolobation, abnormal chromatin clumping and cytoplasmic hypogranularity. Circulating blasts are not present. Red cells show marked anispoikilocytosis with microcytes, macrocytes, elliptocytes and rare megakaryocyte nuclear fragments in circulation (third image).

Myeloid-NeoplasmGATA2Pedigree
#00061818
 
Myeloid-NeoplasmGATA2Pedigree
#00061819
 
Myeloid-NeoplasmGATA2proband
#00061820
 
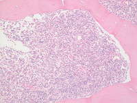
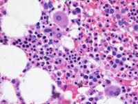
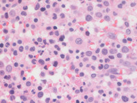
Bone core biopsy findings-Sister of Proband

Core biopsy is normocellular (50% cellular) and easily visible myeloid and erythroid precursors. However there are several megakaryocytes that are also seen, many of which demonstrate dysplastic changes including widely separated multiple nuclei within these megakaryocytes including smaller dysplastic megakaryocytes. There appears to be some cellular streaming indicative of underlying fibrosis, confirmed on the reticulin stain which demonstrates mild to focally moderate reticulin fibrosis (1-2+/3+).

Myeloid-NeoplasmGATA2Pedigree
#00061826
 
Myeloid-NeoplasmGATA2Pedigree
#00061824
 
Myeloid-NeoplasmGATA2proband
#00061825
 
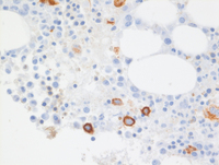
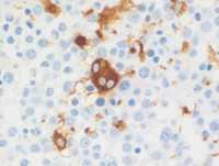
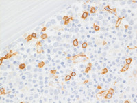
CD34 and CD61 stains-Sister of Proband

CD34 immunostain marks 1-2% blasts with a subset of megakaryocytes demonstrating atypical cytoplasmic staining. CD61 (second and third image) highlights all dysplastic megakaryocytes.

Myeloid-NeoplasmGATA2Pedigree
#00061821
 
Myeloid-NeoplasmGATA2Pedigree
#00061822
 
Myeloid-NeoplasmGATA2proband
#00061823
 
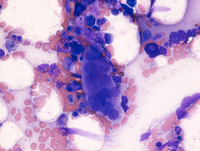
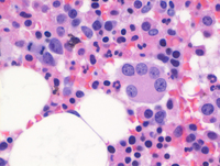
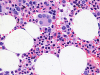
Aspirate smears-Sister of proband

Aspirate smears are cellular and show Pelgeroid dysplastic neutrophils and occasional megaloblastoid atypical binucleate erythroid precursors are also seen (first two images). There are also several megakaryocytes, many of which are dysplastic with widely separated nuclear lobes. Some of the dysplastic megakaryocytes are seen to contain nearly 8-10 separate nuclear lobes in a "grape-like" clusters formation (last three images), resembling "pawn-ball" megakaryocytes described in other GATA2-deficient conditions including MonoMac syndrome.

Myeloid-NeoplasmGATA2Pedigree
#00061816
 
Myeloid-NeoplasmGATA2Pedigree
#00061817
 
Myeloid-NeoplasmGATA2proband
#00061813
 
Myeloid-NeoplasmGATA2Pedigree
#00061815
 
Myeloid-NeoplasmGATA2proband
#00061814
 
AML transformation after two years-Sister of Proband


Peripheral blood shows numerous blasts with cup-like nuclear invagination suggestive of AML with underlying NPM1 mutation.

Bone marrow core biopsy is replaced by sheets of blasts with folded nuclear contours and scattered mitosis.

NPM1 immunostain higlights nuclear and abnormal cytoplasmic staining consistent with underying NPM1 mutation confirmed by molecular studies.

Myeloid-NeoplasmGATA2Pedigree
#00061811
 
Myeloid-NeoplasmGATA2Pedigree
#00061809
 
Myeloid-NeoplasmGATA2proband
#00061810
 
Myeloid-NeoplasmGATA2Pedigree
#00061812
 
Karyotype- sister of proband with t(1;16)

The sister of the proband had an abnormal clone with a der(16)t(1;16), noted above which is a recurring abnormality that leads to partial trisomy for 1q.  

Myeloid-NeoplasmGATA2Pedigree
#00061827
 
Flow cytogenetics and molecular data of AML-Sister of Proband

Flow cytometry showed a large blast population expressing bright CD33 as expected for NPM1 mutated AMLs with additional CD11c, CD64 (monocytic differentiation) with expression of uniform CD123 and myeloperoxidase. A CD34+/CD123+ population is expected with concurrent FLT3 mutation, as in this case.

Cytogenetics shows identical clonal karyotype as the prior MDS without any additional abnormalities while molecular studies identified concurrent NPM1 and FLT3 mutations

Myeloid-NeoplasmGATA2Pedigree
#00061806
 
Myeloid-NeoplasmGATA2Pedigree
#00061807
 
Myeloid-NeoplasmGATA2proband
#00061808
 
Myeloid-NeoplasmGATA2Pedigree
#00061805
 

Advertisement intended for health care professionals