Advertisement intended for health care professionals

Rosai-Dorfman disease

Author:  Girish Venkataraman, MD; Sandeep Gurbuxani, MD, PhD; Vincent Cracolici, MD; Jennifer McNeer, MD; Nicole Sunseri, MD, 07/23/2018
Category: Macrophage/Histiocytic and dendritic cell Neoplasms and disorders (2015) > R group > Sporadic RDD
Published Date: 07/23/2018

This is an 8-year-old male with a persistent neck mass undergoing excision. The right neck lymph node shows extensive involvement by classic Rosai-Dorfman disease. The disease was localized to cervical lymph nodes and the patient is under observation at this time. No further therapy was instituted due to localized disease.

 

Learning points:

1. Rosai Dorfman histiocytes have distinctive morphology

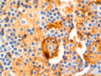
2. These histiocytes are positive for S100 shown below (as opposed to reactive histiocytes which do not express S100).

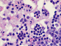
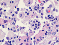
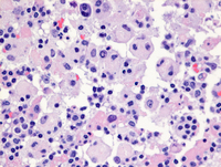
HE images of node in RDD

The sinuses are dilated (pale pink areas). However the specimen is notable for presence of increased plasma cells and aggregates of histiocytes, focally within the dilated sinuses. Emperipolesis (lymphocytes within the cytoplasm) is diffusely present within these histocyte aggregates at higher power.

RosaiDorfman-diseaseHE
#00061771
 
RosaiDorfman-diseaseHE
#00061774
 
RosaiDorfman-diseaseHE
#00061773
 
RosaiDorfman-diseaseHE
#00061772
 
S100 in RDD

RDD histiocytes are positive for S100.

RosaiDorfman-diseaseS100
#00061775
 

Advertisement intended for health care professionals