Advertisement intended for health care professionals

Blastoid Mantle cell lymphoma-Cyclin D1-negative

Author:  Girish Venkataraman, MD, MBBS; Peter Ridell, MD; Jeremy Segal, MD,PhD.; Elizabeth Hyjek, MD; Yonglin Pu, MD, 07/19/2018
Category: Lymphoma: Mature B-cell and Plasma cell Neoplasms > Mantle cell Lymphoma > Blastoid variant
Published Date: 07/19/2018

This is a sixty-nine year old male who presented to his primary care physician with complaints of back and flank pain for two weeks. Initial blood work demonstrated leukocytosis and he was transferred to our institution. For cytometry of the peripheral blood was performed in addition to a bone marrow biopsy.

His PET imaging was notable for multiple diffuse portal caval and porta hepatis lymph nodes that were enlarged with diffuse splenic activity. He was treated with the Nordic MCL protocol and received R-MaxiCHOP. At this time, he is 232 days out of autologous stem cell transplantation.

The findings below are typical for cyclin-D1 negative MCL blastoid variant of mantle cell lymphoma (10-30% to 100% cellular; 80-90% involvement). His Ki-67 proliferative index was variable and his initial mantle cell lymphoma international prognostic index (MIPI) score was 6.8 (high risk).

Learning points:

  1. A proportion of mantle cell lymphomas are negative for cyclin D1 by immunohistochemistry as well as FISH analysis for translocations.
  2. These cases often express SOX11 and carry underlying CCND2 or CCND3 related translocations.
FDG-PET scan

Several porta hepatis and portacaval lymph nodes have increased metabolic activity. (Dominant portacaval lymph node SUV max: 7.7) The spleen shows diffuse increased activity (SUV max: 6.3). Mildly prominent cardiophrenic lymph nodes show minimal increased metabolic activity (SUV max: 2.4).

Mantle-cell-lymphomaPET
#00061759
 
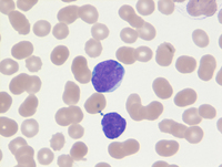
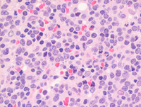
Blood in MCL

The peripheral blood smear shows moderate leukocytosis (23.8 K/ul) due to circulating blastoid cells which are  intermediate in size with groved or indented or cloverlike nuclei, dispersed chromatin, variably distinct nucleoli and scant cytoplasm. The red cells are normocytic and show mild anisocytosis. Platelets are markedly reduced in number but show normal granulation.

Mantle-cell-lymphoma
#00061768
 
Mantle-cell-lymphomaBlood
#00061761
 
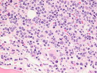
Core biopsy

The bone marrow is extensively involved by dense neoplastic lymphoid infiltrate dispersed interstitially in hypocellular areas and packed in the hypercellular areas. The lymphoma cells are intermediate in size with slightly irregular nuclei, dispersed chromatin, variably distinct nucleoli and scant cytoplasm. Mitotic activity can be readily appreciated. Residual hematopoiesis is markedly reduced on this preparation.

Mantle-cell-lymphoma
#00061764
 
Mantle-cell-lymphomaHE
#00061765
 
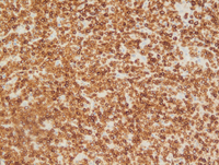
CD20 and PAX5

CD20 and PAX5 are strongly positive supporting B-cell lineage.

Mantle-cell-lymphomaCD20
#00061762
 
Mantle-cell-lymphomaPAX5
#00061766
 
BCL2 and cyclin D1

BCL2 is also strongly positive. Many lymphomas including CLL, MZL, FL and MZL all are positive for BCL2 by immunostain but only FL shows underlying t(14;18) translocation.

Mantle-cell-lymphomaBCL2
#00061760
 
Mantle-cell-lymphomaCyclinD1
#00061763
 
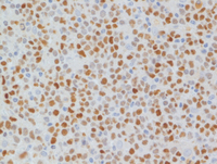
SOX11


SOX11 a nuclear transcription factor is strongly positive supporting MCL diagnosis. Also flow cytometry analysis performed on peripheral blood specimen demonstrated a monotypic kappa light chain restricted B cell population CD19+, CD20+bright, CD5+dim, CD23-, CD10- supporting MCL with CD5 expression.

Mantle-cell-lymphomaSOX11
#00061767
 
Cytogenetics


Cytogenetics showed a clonal karyotype without a t(11;14) CCND1 translocation.

47,XY,inv(5)(p15.3q11.2),add(7)(q36),+mar[30%]

No Image is attached in this Figure.
Molecular studies

Molecular studies showed pathogenic mutations in RB1 and ATM.

RB1 c.1030C>T, p.Q344* (NM_000321.2)
This point mutation in exon 10 of the RB1 gene results in a premature stop signal at codon 344, which would be expected to reduce or abrogate the functional activity of this protein product. RB1 deletions and mutations are common events in mantle cell lymphoma (MCL), and some evidence suggests RB1 deletion is associated with a poor prognosis (Blood. 2014 May 8;123(19):2988-96, Blood. 2015 Jul 30;126(5):604-11).

ATM c.8293G>A, p.G2765S (NM_000051.3)
This sequence change in exon 57 of the ATM tumor suppressor gene results in a glycine to serine substitution at amino acid 2765 (kinase domain) of the protein. The G2765S variant has not been reported as a somatic mutation in cancer (cancer.sanger.ac.uk/cosmic). It has been described as a very rare inherited allele in the general population (Exome Aggregation Consortium Project), and has been categorized as pathogenic/likely pathogenic in ClinVar (www.ncbi.nlm.nih.gov/clinvar/variation/186351/). It is projected as deleterious by in silico prediction tools (SIFT: http://sift.jcvi.org/). It should thus be considered suspicious for a pathogenic impact. ATM inactivation is a common event in mantle cell lymphoma (MCL), and has been implicated in the pathogenesis of MCL (Leukemia. 2015 Jun;29(6):1414-24). ATM mutations are seen in approximately 47% of MCLs (Blood. 2014 May 8;123(19):2988-96, Reviewed in Crit Rev Oncol Hematol. 2016 Nov;107:14-19).

No Image is attached in this Figure.

Advertisement intended for health care professionals