Advertisement intended for health care professionals

Blastic plasmacytoid dendritic cell neoplasm involving marrow

Author:  Girish Venkataraman, MD, MBBS; Richard Larson, MD; Sandeep Gurbuxani, MD, PhD; Elizabeth Hyjek, MD; Lauren Ritterhouse, MD, PhD; Dilshad Dhaliwal, MD, 07/18/2018
Category: Myeloid Neoplasms and acute leukemia (WHO 2016) > Blastic plasmacytoid dendritic cell neoplasm
Published Date: 05/26/2021

This is a 75-year-old female who was transferred to our hospital with a new diagnosis of acute myeloid leukemia with myelodysplasia related changes based on a bone marrow performed at an outside institution. Her past medical history is significant for radiation to the thyroid as an infant and had thyroidectomy as an adult. She was initially given some hydroxyurea before arrival at our institution. A second bone marrow biopsy was performed with ancillary flow cytometry, molecular studies and cytogenetics.

Further phenotyping of the blasts reveals expression of CD4, CD56 and CD123 as well as TCF4 and negative myeloperoxidase, confirming the phenotype expected for blastic plasmacytoid dendritic cell neoplasm (BPDCN). There was background of myelodysplasia, ring sideroblasts as well as complex karyotype with del(5q) as well as biallelic loss of TP53 and RB1 by molecular studies.

The patient was treated with CPX351 (combination of liposomal daunorubicin and cytarabine) with good response although there was persistent disease without any myeloid component four months after diagnosis and therapy.

The case is notable for lack of skin lesions at presentation with isolated leukemic presentation with associated MDS type morphologic and cytogenetic changes.

Learning points:

  1. Rare cases may lack skin lesions.
  2. The line between an AML expressing CD4, CD56 and CD123 can be thin and the expression of Transcription factor 4 (TCF4); (a factor that controls lineage commitment and gene expression program of PDC) and circumferential microvacuolations by morphology allows designation of this process as BPDCN.
  3. Most cases express CD4, CD56, CD123, and TCL1; but TCL1 was negative in this case.
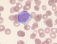
Peripheral blood

Examination of the peripheral blood at admission demonstrates scattered dysplastic neutrophils and blastic cells with cytoplasmic vacuolation (better seen in the subsequent image of the bone marrow aspirate smears)

BPDCN
#00061716
 
BPDCNBlood
#00061717
 
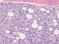
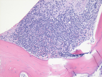
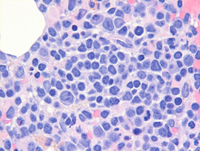
Bone marrow core biopsy

The first two images correspond to the bone marrow core biopsy from the procedure performed at the outside institution demonstrating dysplastic megakaryocytes and some background hematopoiesis in addition to increased mononuclear immature lymphoid cells.

The last image corresponds to the in-house bone marrow biopsy performed after admission demonstrating isolated lymphoid component present in a background of markedly damaged and edematous bone marrow without any background hematopoiesis.

BPDCNCore-BX
#00061731
 
BPDCNCore-BX
#00061732
 
BPDCNCore-BX
#00061715
 
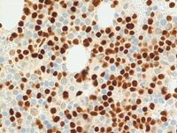
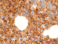
Immunostains

The mononuclear infiltrate is strongly positive for CD4, CD56 and CD123.

BPDCNCD4
#00061718
 
BPDCNCD56
#00061719
 
BPDCNCD123
#00061720
 
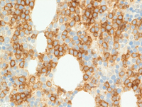
TCF4 IHC


Notably, the infiltrate is also strongly positive for TCF4.

The expression of CD4, CD56 and CD123 in conjunction with TCF4 is in keeping with the PDC differentiation pathway.[1] ID2 is another marker useful for PDC but TCF4 is more sensitive (personal communication, Dr. Karthik Ganapathi, UCSF).

1: Ceribelli M, Hou ZE, Staudt LM and coworkers. A Druggable TCF4- and BRD4-Dependent Transcriptional Network Sustains Malignancy in Blastic Plasmacytoid Dendritic Cell Neoplasm. Cancer Cell. 2016 Nov 14;30(5):764-778.

BPDCNTCF4
#00061733
 
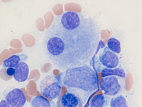
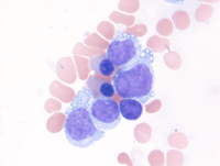
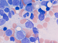
Aspirate smears

Aspirate smears are cellular and demonstrate 35% blasts which have variable cytomorphology ranging in size from medium to large angulated forms with scant to moderate amount of wispy cytoplasm with multiple circumferential microvacuoles (first image).

Dysplastic neutrophils with abnormal chromatin clumping are easily visualized (second image). In addition, dysplastic erythroid precursors with irregular nuclei and dysplastic small micromegakaryocytes with widely separated nuclear lobes are easily visualized. There were <1% MPO+ cells by cytochemistry. Nearly 40% ring sideroblasts are noted on the iron stain (not shown).

BPDCNAspirate
#00061734
 
BPDCNAspirate
#00061714
 
BPDCNAspirate
#00061713
 
Flow cytometry gating plot

There is a large population of cells in the "blast gate" colored in green in the CD45 vs. side scatter plot. Note in the subsequent plot of the blast gate, there are two populations, one abnormally bright for CD34/CD123- while the other is CD123+/CD34-. The former corresponds to myeloblasts and latter corresponds to PDCs. Th PDC population is colored in green here while everything else within the blast gate is red in all the plots noted in the subsequent figures.

BPDCNFlow
#00061730
 
BPDCNFlow
#00061729
 
Other Flow markers in PDC neoplasm

About 70% of cells within this blast gate express phenotype compatible with malignant blastic plasmacytoid dendritic cells with expression of CD36, CD56, CD123, dim CD33, partial CD117, CD4, CD2 (subset), CD10 (partial), HLA-DR and negative for lineage defining markers including CD19, cytoplasmic CD3 and cMPO as well as CD13, CD38, CD34 and other monocytic lineage markers. The remaining 30% of cells within the blast gate represent abnormal myeloid blasts expressing abnormal bright CD34, CD13, CD33, CD117, dim CD38, dim CD4, and negative for CD2, CD123, cMPO, CD19 and cCD3.

The expression of aberrant CD2, CD10 is also typical of malignant PDCs.Neoplasms of the most immature PDCs are described to show a dual CD34+ myeloid and CD34-/CD123+ PDC components (although CD56 is usually negative in this maturational stage) and these often do not involve the skin in some reported cases.[2]

 

REF:

2: Martin-Martin L, Lopez A,  Almeida J and coworkers. Classification and clinical behavior of blastic plasmacytoid dendritic cell neoplasms according to their maturation-associated immunophenotypic profile. Oncotarget. 2015 Aug 7;6(22):19204-16.

BPDCNFlow
#00061728
 
BPDCNFlow
#00061723
 
BPDCNFlow
#00061725
 
BPDCNFlow
#00061722
 
BPDCNFlow
#00061724
 
BPDCNFlow
#00061727
 
BPDCNFlow
#00061721
 
Cytogenetic studies

Cytogenetic studies identified a complex karyotype with:
46,XX,del(5)(q13q33[6]/47,idem,del(4)(q31),+8,del(12)(q13q15)[7]/53,idem,+1,+2,+ 4,+9,del(12)(q13q15),+13,+21[3]/46,XX[4].

The del(5q) and +8 and other abnormalities seen are typical of myeloid disease.

No Image is attached in this Figure.
Molecular studies

Somatic mutation testing by next-generation sequencing (NGS) showed the following abnormalities:

TP53 c.536A>G, p.H179R (NM_000546.5)
APC Loss - Equivocal
TP53 Loss
TP53 c.782+2T>G, p.? (NM_000546.5)
RB1 Loss

The top figure shows a copy number plot demonstrating a copy number loss of the TP53 gene on chromosome 17p13. The bottom two figures visualize show the NGS reads demonstrating both TP53 variants.

BPDCNmolecular
#00061712
 

Advertisement intended for health care professionals