Advertisement intended for health care professionals

Myeloid/Lymphoid neoplasm with PCM1-JAK2

Author:  Jason X. Cheng, MD, PhD.; Sandeep Gurbuxani, MD, PhD; Michelle LeBeau, MD, PhD; Jane E. Churpek, MD; Hongtao Liu, MD, PhD; Madina Sukhanova, MD; John Kennedy Sidney Sir Philip, MD, 07/09/2018
Category: Myeloid Neoplasms and acute leukemia (WHO 2016) > Myeloid/lymphoid neoplasms with eosinophilia and gene rearrangement > Myeloid/lymphoid neoplasms with PCM1-JAK2 (provisional)
Published Date: 07/09/2018

This is a 40-year-old male who presented with occasional night sweats, mild inguinal lymphadenopathy and splenomegaly. He was initially noted to have an elevated white cell count of 28,800/uL with hemoglobin of 10.4 g/dL and thrombocytopenia of 18,000/uL.

Bone marrow biopsy was performed at an outside institution showed evidence of hypercellular marrow without evidence of any JAK2V617F mutation or BCR-ABL translocation and initially thought to be acute erythroleukemia. However repeat bone marrow biopsies with cytogenetics demonstrated presence of clonal t(8;9)(p22;p24) translocation involving the JAK2 (9p24) and PCM1(8p22) genes allowing designation as 'myeloid/lymphoid neoplasm with JAK2-PCM1 fusion'.

The patient underwent therapy with JAK2 inhibitor (ruxolitinib) with resulting hematologic improvement and then went to get an allogeneic stem cell transplantation.

Learning points:

  1. The WHO 2017 includes this as a provisional entity under 'Myeloid/lymphoid neoplasms with eosinophilia and gene rearrangement' including PDGFRA, PDGFRB and FGFR1-rearranged entities.
  2. These cases have common translocation resulting in a fusion gene between JAK2 and an alternative partner gene such as ETV6 or BCR and have a marked male predominance.
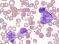
Peripheral smear findings

At the time of this bone marrow biopsy, the patient's white cell count is 5400 per microliter, with hemoglobin of 10.6 g/dL and normal platelet count of 151,000 per microliter (the patient was already on JAK2 inhibitor therapy at this time for 4 months).

Review of the smear is notable for increased numbers of eosinophils (16%) without evidence of monocytosis. There are no circulating blasts although occasional left-shifted myeloid cells are noted. There is no evidence of dysplasia or monocytosis. Red cells show prominent anisopoikilocytosis due to the presence of elliptocytes, tear drop forms, some microcytes and occasional red cell fragments (not seen in this image).

MPN-JAK2PCM1Blood
#00061641
 
MPN-JAK2PCM1Blood
#00061640
 
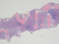
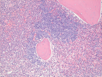
Bone core biopsy findings

Bone core biopsy shows hypercellular marrow with estimated cellularity of 90% which on higher power is notable for patchy discrete clusters of large mononuclear cells seen throughout the bone core biopsy.

MPN-JAK2PCM1Biopsy-HE
#00061643
 
MPN-JAK2PCM1Biopsy-HE
#00061644
 
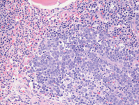
Bone core biopsy-higher power examination

On closer examination, the large sheet-like clusters of mononuclear cells are immature early erythroid precursors (proerythroblasts) forming tight clusters while the adjacent interstitial areas demonstrate prominent granulocytic proliferation including several eosinophils. Megakaryocytes are unremarkable (not shown).

MPN-JAK2PCM1Biopsy-HE
#00061645
 
MPN-JAK2PCM1Biopsy-HE
#00061646
 
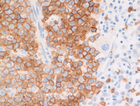
Bone core biopsy Glycophorin-C stain

Additional Glycophorin-C stain highlights the clusters of cells confirming erythroid lineage. Although not shown here, CD34 stain did not show any increase in blasts. CD117 immunostain demonstrated weak staining in the erythroid precursors and in addition highlighted increased numbers of dispersed mast cells throughout the biopsy although large tight mast cell clusters were not present.

MPN-JAK2PCM1GlycophorinC
#00061642
 

Advertisement intended for health care professionals