Advertisement intended for health care professionals

EBV+ plasmablastic lymphoma

Author:  Girish Venkataraman, MD, MBBS; Sonali M. Smith, MD; James Godfrey, MD, 07/09/2018
Category: Lymphoma: Mature B-cell and Plasma cell Neoplasms > Large B-cell lymphomas (not Richter transformation) > Plasmablastic lymphoma
Published Date: 07/09/2018

 This is a 72-year-old HIV-negative man with 20-pound weight loss, drenching night sweats was noted to have right maxillary sinus demonstrating bone destruction due to lymphoma who visited the referral institution to discuss management options. A biopsy  confirmed the maxillary lesion to be EBV+ plasmablastic lymphoma (stage IE). Treatment with EPOCH-R was recommended.

Outside of the setting of HIV, plasmablastic lymphoma (PBL) is described to occur in older patients. In one review series of HIV negative plasmablastic lymphomas, immunosuppression and EBV negativity predicted for worse overall survival besides stage IV disease.[1] In another series from the M.D. Anderson cancer center including HIV positive and HIV negative cases, patients with EBV+ PBLwere noted to have better event-free survival but not overall survival. Nearly 2/3 of the cases in the study were noted to have c-MYC rearrangement and all cases expressed high c-MYC by IHC regardless.[2] Notably MYC rearrangements in this latter study did not impact outcome.

REF:

1: Liu M, Liu B, Liu B, Wang Q, Ding L, Xia C, Dong L. Human immunodeficiency virus-negative plasmablastic lymphoma: a comprehensive analysis of 114 cases. Oncol Rep. 2015 Apr;33(4):1615-20.

2: Loghavi S, Alayed K, Aladily TN, Zuo Z, Ng SB, Tang G, Hu S, Yin CC, Miranda RN, Medeiros LJ, Khoury JD. Stage, age, and EBV status impact outcomes of plasmablastic lymphoma patients: a clinicopathologic analysis of 61 patients. J Hematol Oncol. 2015 Jun 10;8:65.

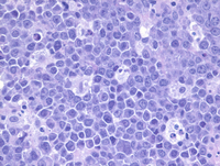
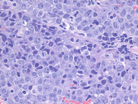
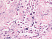
EBV+ PBL -HE

Sections demonstrate a extensive ulceration at low power with subjacent areas showing a diffuse lymphoid infiltrate (on the left in the image) with large/plasmablastic cytomorphology (at higher power). Scattered histiocytes are noted imparing a "starry-sky" appearance often seen in highly proliferative processes including Burkitt lymphoma.

EBVPlasmablastic-lymphomaHE
#00061603
 
EBVPlasmablastic-lymphomaHE
#00061604
 
EBVPlasmablastic-lymphomaHE
#00061605
 
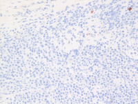
EBV+ PBL lacks expression of B-lineage markers

CD20 (image on left) and CD79a (image on right) are both negative in this case. Lack of CD20 is consistent with a plasmablastic phenotype. Although most PBL often express CD79a which plasmacytic cells retain, this case is negative. Rare scattered background small B-cell or plasma cell staining for CD20 or CD79a respectively are noted in these stains.

EBVPlasmablastic-lymphomaCD20
#00061597
 
EBVPlasmablastic-lymphomaCD79a
#00061599
 
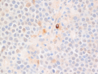
EBV+ PBL lacks CD45

CD45, a marker often used to identify hematopoietic lineage is typically negative in plasmablastic lymphoma. Certain hematopoietic proliferations often lack CD45 and these include Hodgkin lymphoma, anaplastic large cell lymphoma and lymphoblastic processes. Hence, the lack of CD45 in an undifferentiated neoplasm should not automatically rule out a hematopoietic process. The image shows background CD45 lymphocytes while the lymphoma cells are negative in this case.

EBVPlasmablastic-lymphomaCD45
#00061598
 
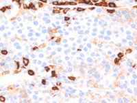
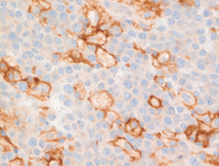
EBV+ PBL expresses CD138 and MUM1


Both CD138 (left image, membranous pattern) and MUM1 (right image nuclear stain), markers of a plasmacytic phenotype are positive on the lymphoma cells.

EBVPlasmablastic-lymphomaCD138
#00061600
 
EBVPlasmablastic-lymphomaMUM1
#00061606
 
EBV+PBL EBER ISH


EBV by in situ hybridization is positive in the lymphoma cells (nuclear pattern).

EBVPlasmablastic-lymphomaEBER
#00061602
 
EBV+PBL PD-L1 IHC


Programmed death receptor ligand-1 (PD-L1) stains the background histiocytes in a membranous fashion but the adjoining lymphoma cells are negative for this stain.

EBVPlasmablastic-lymphomaPDL1
#00061608
 

Advertisement intended for health care professionals