Advertisement intended for health care professionals

Juvenile Myelomonocytic Leukemia (JMML)

Author:  Girish Venkataraman, MD, MBBS; James Vardiman, MD; Aliya Noor Husain, MD; Joseph Pyle, MD; Paula Kovarik, MD, 07/05/2018
Category: Myeloid Neoplasms and acute leukemia (WHO 2016) > Myelodysplastic/myeloproliferative neoplasms (MDS/MPN) > Juvenile Myelomonocytic Leukemia (JMML)
Published Date: 07/05/2018

This is a three-year old-male with history of hepatosplenomegaly. A detail of complete blood count is not available. However, biopsies of the liver and spleen are performed and the findings below are in keeping with a diagnosis of juvenile myelomonocytic leukemia (JMML). The spleen weighed 450 gms at splenectomy.

Previous called juvenile chronic myelomonocytic leukemia, juvenile myelomonocytic leukemia (JMML) is a clonal hematopoietic disorder of children involving proliferation of monocytic and granulocytic lineages. To establish the diagnosis, peripheral blood monocyte count of >1000 per microliter, blasts <20%, splenomegaly and absence of Philadelphia chrosome are all required with evidence for any one of the following genetic criteria:

  1. Somatic mutation in PTPN11, KRAS or NRAS
  2. Clinical diagnosis of NF1 or NF1 mutation
  3. Germline CBL mutation and loss of heterozygosity of CBL

Monosomy 7 is the most frequent abnormal karyotypic finding. Case with PTPN11 mutations must be investigated to assess if its is germline in which case it may represent a Noonan syndrome associated myeloid malignancy. These latter patients may develop a transient abnormal myelopoieisis (JMML-like) analogous to Down syndrome-associated TAM.

Low power H&E

The liver biopsy low power demonstrates diffuse portal and sinusoidal involvement by atypical mononuclear infiltrate.

JMMLHE
#00061589
 
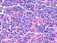
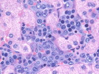
High power H&E

The liver biopsy at high power demonstrates large atypical immature monocytic/mononuclear cells admixed with erythroid precursors within the sinusoids.

JMMLHE
#00061590
 
JMMLHE
#00061591
 
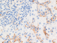
MPO IHC

Myeloperoxidase immunohistochemistry highlights the presence of numerous mononuclear myeloid cells.

JMMLMyeloperoxidase
#00061592
 
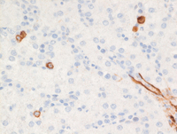
CD14 IHC

CD14 immunostain is negative in the infiltrate but highlights scattered Kupffer cells lining the sinusoids. The lack of CD14 is consistent with an immature monocytic infiltrate that often lack CD14 expression.

JMMLCD14
#00061587
 
CD34 IHC


CD34 immunostain highlights scattered blasts but the infiltrate is largely negative for CD34.

JMMLCD34
#00061588
 
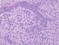
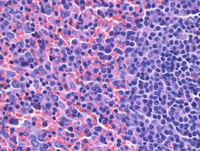
Spleen involvement by JMML


The splenic red pulp shows extensive involved by the same atypical mononuclear infiltrate with increased monocytes. The image on the is notable for a nodule of unremarkable white pulp present on the right side of the image.

JMML-HE-Spleen
#00061585
 
JMML-HE-Spleen
#00061586
 

Advertisement intended for health care professionals