Advertisement intended for health care professionals

Duodenal-type follicular lymphoma

Author:  Girish Venkataraman, MD, MBBS, 06/29/2018
Category: Lymphoma: Mature B-cell and Plasma cell Neoplasms > Low-grade B-cell lymphoma > Follicular Lymphoma > Duodenal-type follicular lymphoma
Published Date: 06/29/2018

This is a 48 year old male with duodenum lesions that were biopsied. The findings are in keeping a duodenal follicular lymphoma.

The current WHO 2017 recognize that the duodenal-type follicular lymphoma as distinctive features with excellent outcome with conservative measures.

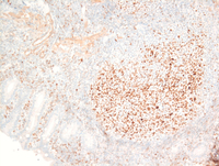
Low power image

This image demonstrates nodular aggregates of small lymphoid cells in the duodenal submucosa distending the villi.

Duodenal-follicular-lymphoma
#00061533
 
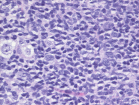
High power Image

This image demonstrates that the lymphoid infiltrate comprises small to medium-sized centrocytic lymphoid cells

Duodenal-follicular-lymphoma
#00061534
 
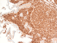
CD20 stain

The nodular aggregates are strongly positive for CD20. In addition, the CD20 positive cells are seen to extend into the villi.

CD20Duodenal-follicular-lymphoma
#00061532
 
Germinal center markers in Duodenal FL

Both CD10 (left) and BCL-6 (right) are positive within the neoplastic follicular structures. CD10, in addition demonstrate strong surface immunopositivity on the surface epithelium. Positivity for both markers support germinal center B-cell derivation.

CD10-Duodenal-follicular-lymphoma
#00061531
 
BCL6-Duodenal-follicular-lymphoma
#00061530
 
BCL2 in Follicular lymphoma

In addition, BCL-2 is strongly positive within the follicular structures and in the infiltrative component outside the nodular structures. FISH was also positive for t(14;18)(q32;q21), consistent with follicular lymphoma.

BCL2-Duodenal-follicular-lymphoma
#00061529
 

Advertisement intended for health care professionals