Advertisement intended for health care professionals

Classical Hodgkin lymphoma, nodular sclerosis subtype

Author:  Girish Venkataraman, MD, MBBS; Megan Parilla, MD, 06/29/2018
Category: Lymphoma: Hodgkin Lymphoma > Classical Hodgkin Lymphoma > Nodular sclerosis subtype
Published Date: 06/29/2018

The patient is a 22-year-old male with a history of lymphadenopathy. He first experienced left axilla lymphadenopathy followed by left supraclavicular and bilateral cervical lymphadenopathy. He underwent fine needle aspiration and core needle biopsy of a left cervical lymph node on 3/27/2018, with pathology reportedly concerning but not diagnostic of Hodgkin lymphoma. The patient underwent a left neck lymph node excisional biopsy shown here.

The  findings here are typical for nodular sclerosis Classical Hodgkin lymphoma. Most classical Hodgkin lymphoma in the western population are enriched for nodular sclerosis subtype and are often EBV-negative as opposed to CHL in the eastern populations which are often of mixed cellularity subtype and EBV+

Low power H&E Image

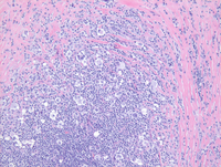
Low power image demonstrates broad bands of compartmentalizing sclerosis noted as the pink areas with nodular structures containing an atypical lymphoid infiltrate.

High power at the periphery of the nodule demonstrates prominent sclerosis with mottled appearance to the nodules due to scattered large atypical cells with somewhat clear cytoplasm present in a background of small lymphocytes.

CHLNS-HE-image
#00061522
 
CHLNS-HE-image
#00061523
 
High power H&E images

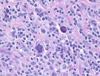
At higher power, there are scattered large cells with clear cytoplasm and central nuclei present in a background of small lymphocytes. Further examination demonstrates that the large cells are either mononuclear or multinucleated variants of Hodgkin/Reed-Sternberg cells, also called "lacunar cells". Lacunar cells represent an artifact of formalin fixation due to retraction of the cell membrane as a result of formalin fixation.

CHLNS-HE-image
#00061524
 
CHLNS-HE-image
#00061526
 
High Power H&E image

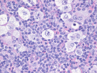
This image demonstrates two dark mummified cells which are Hodgkin cells that have undergone nuclear condensation.

CHLNS-HE-image
#00061525
 
CD20 and PAX5 downregulation in cHL

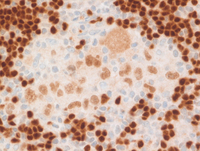
CD20 immunostain (bottom left) demonstrates scattered small B cells staining positive for CD20 while the Hodgkin cells are negative for CD20, consistent with down regulation of germinal center and B-cell program in the cells.

 

Likewise, PAX5 (bottom right) demonstrates strong nuclear positivity in the surrounding B cells while the clusters of the Hodgkin cells in the center of the field demonstrate weak PAX5 expression consistent with the down-regulation of germinal center and B-cell program in these cells.

CHLNS-CD20
#00061520
 
CHLNS-PAX5
#00061527
 
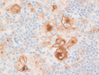
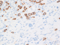
CD30 and CD15 in CHL

All classical Hodgkin lymphoma cells express uniform CD30 with prominent Golgi accentuation in many cells. Staining is typically cytoplasmic as well as membranous. Targeted therapy again CD30 (brentuximab) is available currently in the relapsed setting for cHL.

CD15 on the other hand, is positive in the Hodgkin cells and expression is often weak and focal with somewhat granular staining. Normally, numerous background neutrophils in the strong CD15 while background monocytes express moderate CD15 and serve as internal controls.

CHLNS-CD30
#00061521
 
CHLNS-CD15
#00061528
 

Advertisement intended for health care professionals