Advertisement intended for health care professionals

Mast cell Leukemia

Author:  Sasan Zandi, MD, PhD; Waleed Alduaij, MD; Richard Wells, MD, PhD; Zeina Ghorab MD; Yulia Lin, MD and Marciano Reis, MD, 10/10/2017
Category: Myeloid Neoplasms and acute leukemia (WHO 2016) > Mastocytosis > Systemic Mastocytosis (SM) > Mast cell leukemia (MCL)
Published Date: 06/11/2018

A 45-year-old man presented with a 3-week history of fever, night sweats, weight loss, worsening abdominal pain and distention. He reported intermittent diarrhea with a maculopapular rash on his torso. On admission he had mild thrombocytopenia (platelet count 51x109/L) and a leukocytosis with a neutrophil count of 12.5x109/L. CT imaging revealed diffuse lymphadenopathy, hepatosplenomegaly and thickening of small bowel and colon. Peripheral blood smear showed circulating mast cells including atypical forms. Bone marrow biopsy and flow cytometry confirmed the diagnosis of mast cell leukemia with 54% mast cells in the bone marrow aspirate. Sequencing of exons 8 and 17 of the KIT gene did not show any mutation and serum tryptase level was greater than 200 ug/L (reference range 3.8 to 11.4). 

On the third day of admission, he experienced severe epigastric pain with free intra-peritoneal air in the setting of large-volume ascites. He became hemodynamically unstable and underwent immediate exploration that revealed a large duodenum perforation and a mass in the mid small bowel. Small bowel pathology showed massive infiltration of mucosa by mast cells. The patient was initially treated with steroids, antihistamines and imatinib.  Given the aggressive progression of his disease and further complications, palliative treatment was instituted and the patient died soon after. 

The presence of multifocal mast cell clusters (Major criteria) alongwith atypical morphology (minor1), elevated tryptase>20 ng/mL (minor2) and CD25/CD2 expression (minor3) satisfied the criteria for Systemic mastocytosis (SM). The additional presence of >20% mast cells on the aspirate smears allows further designation as Mast cell leukemia (MCL) in this case. Although the presence of less than 10% circulating mast cells in this case allows designation as 'aleukemic' MCL, the presence of C findings (Organ damage as noted by cytopenias, and organomegaly) and clinical course suggests that this is an acute form of MCL.

 
Learning points from the case: 

  1. Mast cell leukemia is a highly aggressive form of SM with ≥ 20% mast cells (of all nucleated cells) in the marrow and often with significant atypia.
  2. All mast cells (benign and neoplastic) are positive for tryptase, and CD117, while only neoplastic mast cells often express CD25 and/or CD2. 
  3. Aleukemic (<10% circulating mast cells), chronic (No 'C' findings) and acute (>=1 'C' finding) forms of MCL exist.

REF:

Diagnosis and management of mastocytosis: an emerging challenge in applied hematology. Valent P. ASH Education program 2015.

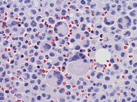
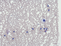
Peripheral blood of MCL case

A marked increase in circulating mast cells (3%) in the peripheral blood is present

Mast-cell-Leukemia
#00061152
 
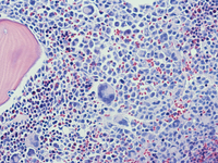
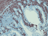
Biopsy findings in MCL case

Trephine biopsy is hypercellular (approximately 95% cellularity). Focal areas of infiltration with mostly round multinucleated and some spindle-shaped mast cells are present. A slight increase in lymphocytes and eosinophils in the areas of infiltration are noted. Large multinucleated forms should not be confused with megakaryocytes.

Mast-cell-Leukemia
#00061148
 
Mast-cell-Leukemia
#00061149
 
Biopsy immunostains

Immunostains with tryptase (top left), CD117 (top right) and CD25 (bottom left) can be used to highlight the mast cells and differentiate them from megakaryocytes. Note the atypical multinucleated mast cell in the center. CD25 stain shows a focal cluster of mast cells positive for CD25 while CD2 (bottom right)  is weakly positive in rare atypical mast cells while scattered T-/NK-cells are strongly positive for CD2.

Mast-cell-Leukemia
#00061153
 
Mast-cell-Leukemia
#00061150
 
Mast-cell-Leukemia
#00061142
 
Tryptase-IHC
#00061143
 
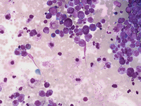
Mast cell Leukemia aspirate smears

Bone marrow aspirate shows diffuse infiltration of mast cells in various stages of maturation. Large atypical multinucleated forms can be seen at higher magnification

Mast-cell-Leukemia
#00061145
 
Mast-cell-Leukemia
#00061146
 
Small bowel biopsy

Small bowel resection shows an abnormal infiltration of discohesive cells with mucosal ulceration and granulation tissue. The cells are medium sized with occasional multinucleated giant cells. The background contains occasional eosinophils and neutrophils. By immunohistochemistry, the lesional cells show patchy weak CD45 staining and diffuse strong CD117 staining (shown here).

Mast-cell-Leukemia
#00061154
 
CD25-IHC-GI-Biopsy
#00061155
 
Flow cytometry

Flow cytometry of the bone marrow aspirate can be used to demonstrate the co-expression of CD25 with CD117. A population of cells with high side scatter, CD34-, CD117+(bright) and CD25+ , in this case, is consistent with a population of mast cells

Mast-cell-Leukemia
#00061144
 

Advertisement intended for health care professionals