Advertisement intended for health care professionals

Primary CNS diffuse large B-cell lymphoma

Author:  Sahr Syed, MD, MBBS; Girish Venkataraman, MD, MBBS, 06/26/2017
Category: Lymphoma: Mature B-cell and Plasma cell Neoplasms > Large B-cell lymphomas (not Richter transformation) > Primary DLBCL of the central nervous system
Published Date: 06/26/2017

A 75-year-old woman presented with confusion and altered mental status. She was found to have a 4.3 cm right frontal lobe mass and underwent a biopsy.

Overall the morphology and immunophenotype below is tpical for Primary Diffuse large B-cell lymphoma of the central nervous system (PCNSL).

Learning points:

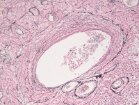
  1. The large immunoblastic cells often exhibit perivascular clustering highlighted in the pictures below and further with the reticulin stain depicted.

  2. Most primary CNS DLBCLs exhibit a non-germinal center B-cell immunophenotype (CD10-, BCL6+/-, MUM1+).

Although MYC and BCL2 expression has prognostic relevance in systemic and nodal DLBCLs, there is conflicting data regarding the role of BCL-2 and c-MYC expression in PCNS-DLBCLs with rare underlying translocations even when there is expression noted by immunohistochemistry. A recent study which examined MYC and BCL-2 expression in 114 cases of PCNS-DLBCLs found that MYC positivity was associated with poor progression free survival (PFS), while patients with BCL2 positivity exhibited a shorter overall survival. Concomitant MYC and BCL2 positivity was related to poor PFS. On multivariate analysis MYC and BCL2 expression had no independent prognostic implication in overall patients with PCNS-DLBCL. While further research is warranted to confirm these findings, the expression of MYC and BCL2 may be of prognostic value in patients with PCNS-DLBCL when combined with existing prognostic tools and factors.

1.Kim S, Nam SJ, Kwon D, et al. MYC and BCL2 overexpression is associated with a higher class of Memorial Sloan-Kettering Cancer Center prognostic model and poor clinical outcome in primary diffuse large B-cell lymphoma of the central nervous system. BMC Cancer. 2016 Jun 10;16:363.

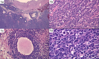
H&E images of histology of PCNSL

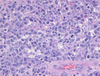
The specimen consists of neural tissue with a diffuse lymphoid proliferation (1a) which is composed of medium to large sized lymphoid cells (1b) which have intermingled apoptotic bodies, reactive small lymphocytes and macrophages and show perivascular accumulation (1c). On higher power the lymphoid cells are noted to be pleomorphic with increased cytoplasm and prominent centrally located single nucleoli, consistent with immunoblasts and numerous mitotic figures in the background (1d).

PCNSL
#00061077
 
PCNSL
#00061078
 
PCNSL
#00061080
 
Reticulin stain

Perivascular reticulin condensation around clusters of tumor cells

PCNSL
#00061079
 
Immunostains

Immunohistochemical stains show that the atypical lymphoid cells express CD20, consistent with B-cell origin. These cells are positive for BCL-6 and show strong MUM-1 expression while they are negative for CD10, consistent with non-germinal center origin. The tumor cells also express BCL-2 (~80%) and c-MYC (~50%). Ki-67 shows an elevated proliferative index (60-70%).

Flow cytometry showed a kappa light chain restricted population of CD45 bright and CD20+ B-cells with the following immunophenotype: CD38+, FMC7+, CD10-, CD5-, CD23-.

PCNSL
#00061081
 

Advertisement intended for health care professionals