Advertisement intended for health care professionals

Cutaneous extranodal Marginal zone lymphoma

Author:  Girish Venkataraman, MD, MBBS; Michael Tallarico, 09/23/2016
Category: Lymphoma: Mature B-cell and Plasma cell Neoplasms > Low-grade B-cell lymphoma > Extranodal Marginal Zone Lymphoma of the mucosa-associated lymphoid tissue (MALT lymphoma)
Published Date: 10/13/2016

This is a 74 year old lady who noticed a pruritic reddish skin lesion that was about the size of a dime with a midline dot that was thought to be a spider bite. She tried an antibiotic with no relief. This lesion was biopsied. She had no B-symptoms.

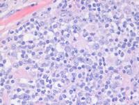
The morphologic findings seen in the biopsy depicted is fairly characteristic for a cutaneous extranodal marginal zone lymphoma (cENMZL). These lymphomas are often rich in background T-cells and histiocytes and may contain reactive follicles in the background with variable numbers of reactive large B-immunoblasts. While cutaneous lymphoid hyperplasia may look very similar, the infiltrative nature and the restricted plasmacytic population depicted below allow classification as CMZL.

Notably, this case was initially interpreted at the originating institution to be a possible T-cell/histiocyte rich large B-cell lymphoma. Likely, the large reactive B-lineage immunoblasts were interpreted to be neoplastic large B-cells admixed with background rich in T cells and histiocytes. Careful attention to the presence of reactive follicles and restricted plasmacytic population allows precise subclassification as cutaneous marginal zone lymphoma. Systemic staging nevertheless needs to be done in such cases.

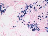
H&E images of cENMZL

H&E images showing upper and deep dermal lymphoid infiltrate present patchily investing the follicular infundibulum at places on higher power. The constituent cells comprise small lymphoid cells few plasma cells, immunoblasts and clusters of histiocytes.

No Image is attached in this Figure.
Immunostains in cENMZL

CD20 highlights nodular clusters of small B cells. CD3 immunostain highlights numerous associated reactive T cells. CD10 immunostain is negative in the nodular clusters and Ki-67 immunostain highlights mottled hot spots of proliferation representing reactive follicles overrun by the B-cell infiltrate. CD30 immunostain highlighted scattered reactive large immunoblasts.

CD3-IHC-CMZL
#00060860
 
CD20-IHC-CMZL
#00060862
 
Ki67-IHC-CMZL
#00060865
 
CD10-IHC-CMZL
#00060861
 
CD30-IHC-CMZL
#00060863
 
Kappa/lambda ISH

In situ hybridization for kappa and lambda immunoglobulin light chain shows markedly increased numbers of kappa positive plasmacytic cells associated with the background lymphoid cells with very few lambda positive cells, indicative of kappa light chain restriction within the plasmacytic cells.

HE
#00060857
 
HE
#00060858
 
HE
#00060859
 
Kappa-ISH-CMZL
#00060864
 
Lambda-ISH-CMZL
#00060866
 

Advertisement intended for health care professionals