Advertisement intended for health care professionals

Primary bone lymphoma

Author:  Girish Venkataraman, MD, MBBS, 06/27/2016
Category: Lymphoma: Mature B-cell and Plasma cell Neoplasms > Large B-cell lymphomas (not Richter transformation)
Published Date: 06/27/2016

This is a 50 year old woman with isolated mandibular lytic lesions which were biopsied. Histology showed polylobate centroblastic cytomorphology characteristic for primary bone DLBCL cases desribed in larger series. These bone isolated cases tend to have an excellent outcome otherwise and respond well to standard chemotherapy.

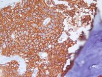
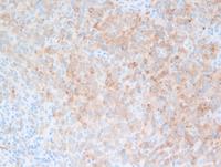
H&E and IHC on case

H&E, CD20 and CD10, the latter two are positive in this case confirming B-cell derivation and a germinal center B-cell phenotype by the Hans classifier. 

Primary-bone-lymphoma-HE
#00060790
 
CD20-Primary-bone-lymphoma
#00060789
 
CD10-primary-bone-lymphoma
#00060788
 

Advertisement intended for health care professionals