Advertisement intended for health care professionals

Lennert lymphoma (Lymphoepithelioid variant)

Author:  Girish Venkataraman, MD, MBBS, 03/21/2016
Category: Lymphoma: Mature T and NK cell lymphoproliferations > Mature T-cell Lymphomas > Peripheral T-Cell Lymphoma, not otherwise specified
Published Date: 05/05/2017

Originally thought to represent a variant of Hodgkin's disease, this lymphoma is characterized by a rich infiltrate of background histiocytes which are reactive and amidst these histiocytes are the small neoplastic T cells distributed throughout with occasional Hodgkin-like cells. Often times, this specific variant tends to remain localized to lymph nodes with only rare extranodal extension and is thought to have a better prognosis in comparison with other peripheral T-cell lymphoma variants.

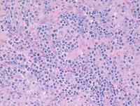
HE images of Lymphoepithelioid variant (Lennert's lymphoma)

Low and high power images showing diffuse infiltrate rich in histiocytes and scattered small lymphocytes that are percolating the surrounding adipose tissue and in between the histiocytic infiltrate.

Lymphoepitheliod-cell-Lennerts-lymphoma
#00060533
 
Lymphoepitheliod-cell-Lennerts-lymphoma
#00060532
 
Lymphoepitheliod-cell-Lennerts-lymphoma
#00060534
 
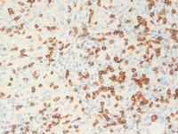
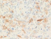
Immunostaining of Lymphoepithelioid variant (Lennert's lymphoma)

Scattered CD3+ neoplastic lymphoid cells are present. CD4 stains mostly the histiocytes while CD8 is expressed in the neoplastic cells. The neoplastic cells are also positive for TIA-1, a markers of immature cytotoxic phenotype which often correlates with CD8 expression. Rare CD30+ cells are present.

Lymphoepitheliod-cell-Lennerts-lymphoma
#00060527
 
Lymphoepitheliod-cell-Lennerts-lymphoma
#00060528
 
Lymphoepitheliod-cell-Lennerts-lymphoma
#00060529
 
Lymphoepitheliod-cell-Lennerts-lymphoma
#00060535
 
Lymphoepitheliod-cell-Lennerts-lymphoma
#00060530
 
Lymphoepitheliod-cell-Lennerts-lymphoma
#00060531
 

Advertisement intended for health care professionals