Advertisement intended for health care professionals

Classical Hodgkin lymphoma nodular lymphocyte rich subtype

Author:  Girish Venkataraman, MD, MBBS, 02/17/2016
Category: Lymphoma: Hodgkin Lymphoma > Classical Hodgkin Lymphoma > Lymphocyte rich subtype (LRcHL)
Published Date: 02/17/2016

A 45-year-old female with enlarged neck lymph node with minimal constitutional symptoms underwent a biopsy. The biopsy findings are typical for the nodular lymphocyte rich subtype of classical Hodgkin Lymphoma.

From a historical prospective, in the mid to late 90s, large scale studies from the German Hodgkin study group allowed for better understanding and separation of cases of nodular lymphocyte predominant Hodgkin lymphoma (NLPHL) from this unusual subtype of classical Hodgkin lymphoma (cHL).

HE& images of architecture and composition

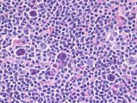
The lymph node architecture is effaced by an atypical mottled nodular lymphoproliferation comprising nodules replete with small lymphocytes. At higher power, singly scattered mononuclear variants as well as mummified variants of Hodgkin/Reed-Sternberg cells are seen admixed with the lymphocytes within the nodules.

Mottled-atypical-lymphoid-nodules
#00060414
 
Nodules-high-power
#00060415
 
Nodules-with-scattered-larger-cells
#00060416
 
Scattered-HRS-cells-HE-high-power
#00060413
 
Immuhistochemistry

The nodular area is a rich in small B cells, highlighted by CD20 and Pax-5 immunostains. In addition, there are a fair number of T cells admixed in the background but notably, the Hodgkin cells are negative for CD20 and express weak Pax-5 in keeping with down regulation of the B-cell program within the neoplastic cells in classical Hodgkin lymphoma. On the Pax-5 immunostain, as detected below, a corona of Pax-5 negative small lymphocytes are seen to intervene in between the Hodgkin cells and the surrounding Pax-5 positive B-cells. This corona/rosette comprise CD3 + T-cells which express PD-1 (programmed death-1). More recent studies have indicated that Hodgkin cells frequently express the ligand for PD-1, i.e. PD-L1; as a result of the cognate interaction of PD-L1 with the PD-1 positive background T-cells, there is resulting T-cell exhaustion and suboptimal immune response to the Hodgkin lymphoma cells. Hence, there is ongoing trials involving targeted therapy which are being tested in classical Hodgkin lymphoma directed towards PD-L1 and PD-1 with promising responses. 

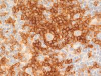
CD20-stain-showing-nodules-rich-in-Bcells
#00060418
 
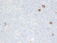
CD20-stainHRS-cells-are-negative
#00060419
 
Pax5-staining-on-HRS-cells
#00060422
 
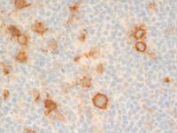
CD3-stain-highlighting-rosettes
#00060417
 
PD1-staining-in-Tcell-rosettes
#00060423
 
CD21-marks-dendritic-meshworks
#00060425
 
CD30-highlights-HRS-cells
#00060420
 
CD30-high-power
#00060421
 
CD15-negative-in-HRS-cells
#00060424
 

Advertisement intended for health care professionals