Advertisement intended for health care professionals

Iron Deficiency Anemia

Author:  Georgia B. Vogelsang, MD, 10/26/2015
Category: Red Cell: Disorders of Iron Metabolism and Heme Synthesis > Iron Deficiency and related disorders > Acquired
Published Date: 02/22/2018

Images shown are of several patients with iron deficiency.  Blood loss, lack of adequate iron in the diet and malabsorption are all causes.

Erythropoiesis in iron deficiency is disrupted resulting in anisocytosis (high RDW). With iron deficiency each developing erythrocyte takes whatever iron is available.  The RBCs tend to vary in size because of the variable amount of iron in each cell.

Patients with thalassemia trait, usually have a normal RDW, as each cell has the same genetic defect, and makes the same amount of hemoglobin .  

The microcytic/hypochromic anemia of iron deficiency must be distinguished from anemia of chronic disease, thalassemia and  sideroblastic anemia.

Moderate Iron Deficiency

A patient with a history of a gastrectomy presented for difficulty swallowing and fatigue. Laboratory findings included: hemoglobin 7 g/dL, MCV 61 fL, platelet count 750 thou/μL, normal WBC, reticulocytes 2.5%, serum ferritin 6 ng/mL, serum iron 12 ug/dL, and transferrin 400 μg/dL. Peripheral smear showed thrombocytosis (normal morphology), hypochromia, and anisopoikolocytosis   The patient was found to have  Plummer-Vinson syndrome , esophageal webs, causing the swallowing difficulties.  This manifestation of iron deficiency is not frequently encountered.

Iron-Deficiency-Anemia-Moderate
#00060223
 
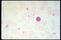
Moderate Iron Deficiency

This is a peripheral blood smear from a patient with iron deficiency anemia.  Normal lymphocyte for comparison purposes is seen at the edge of the smear.  Significant hypochromia and microcytosis is seen, as well as moderate variation in size and shape of the red cells

Iron-Deficiency-Anemia-Moderate
#00060219
 
Iron-Deficiency-Anemia-Moderate
#00060220
 
Prussian blue (iron) stained bone marrow

This image shows iron stains for comparison. In the left upper corner iron is increased,  as demonstrated by the large amount of blue material.  The next two images show decreasing amounts of iron.  The right bottom image shows no iron.  This test is considered the gold standard for evaluating marrow iron stores. 

Iron-Deficiency-AnemiaStains
#00060221
 
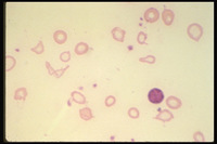
Severe Iron Deficiency

This smear in a patient with iron deficiency anemia, whose hemoglobin was markedly depressed in the 4-5g/dL range.  A normal lymphocyte is seen for comparison purposes.  The red cells are profoundly hypochromic and microcytic.  Increased  platelets are also seen. 

Also included is a Prussian blue (iron) stained bone marrow.  This low power view of an iron stained bone marrow shows no stainable iron.  Iron is manifest by blue colorations and granules, absent in this example.

Iron-Deficiency-Anemia-Severe
#00060227
 
Iron-Deficiency-Anemia-Severe
#00060226
 
Iron-Deficiency-Anemia-Severe
#00060224
 
Iron-Deficiency-Anemia
#00060225
 
Other manifestations of Iron Deficiency

Severe iron loss may result in koilonychia (spoon nails) and/or angular cheilosis (ulcers and fissures at the angle of the mouth) and a beefy, smooth tongue, shown here.

Iron-Deficiency-Anemia-other-manifestations
#00060222
 

Advertisement intended for health care professionals