Advertisement intended for health care professionals

Pelger–Huët anomaly

Author:  Suzanne Vercauteren, MD, PhD, FRCPC, 09/30/2015
Category: Myeloid Disorders > Neutrophil function disorders > Pelger-Huet Anomaly
Published Date: 05/05/2017

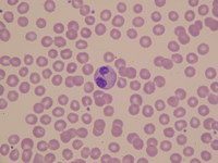
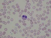
This is a 9 month old boy with an incidental finding of Pelger–Huët anomaly . Neutrophils show the distinct morphological changes exhibiting two nuclear lobes connected by a thin thread of chromatin. Monocytes and eosinophils also show hypolobation. The mother and brother of this patient also exhibited the Pelger Huet abnormality.

 
The anomaly  is characterized by nuclear hyposegmentation. It is a benign dominantly inherited defect of terminal neutrophil differentiation secondary to mutations in the lamin B receptor gene

Pelger–Huët anomaly Eosinophil

Monocytes and eosinophils also show hypolobation.

PelgerHut-anomaly
#00060127
 
Pelger–Huët anomaly Neutrophils

Neutrophils show the distinct morphological changes exhibiting two nuclear lobes connected by a thin thread of chromatin. 

PelgerHut-anomaly
#00060126
 
PelgerHut-anomaly
#00060125
 

Advertisement intended for health care professionals