Advertisement intended for health care professionals

Emberger Syndrome

Author:  Gordana Raca, Ph D; Suzanne Vercauteren, MD, PhD, FRCPC, 09/23/2015
Category: Bone marrow failure
Published Date: 02/25/2016
11 year old boy mild macrocytosis and mild pancytopenia. Bone marrow is mildly hypocellular marrow (30-40%) with mild dyserythropoiesis and dysmegakaryopoiesis, but no increase in blast cells. FISH analysis showed a monosomy 7. Further genetic testing identified a GATA2 mutation in him and one sibling. Physical findings included extensive warts on hand and feet as well as abnormalities of the lymphatic system. The patient was diagnosed with Emberger syndrome. Emberger syndrome is a very rare genetic disorder characterised by primary lymphoedema generally confined to the lower limbs and genitals and myelodysplasia associated with a greatly increased risk of acute myeloid leukaemia (AML). GATA2 mutations have been identified in patients with Emberger Syndrome and is thought to be the causative factor.
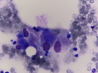
Megakaryocytes

The megakaryocytes show dysplastic changes.

Emberger-syndrome-dysplastic-megakaryocytes
#00060098
 
Emberger-syndrome
#00060096
 
Biopsy

The marrow biopsy is hypocelluar. 

Emberger-syndrome
#00060097
 
Cytogenetics and FISH
Representative interphase FISH images showing only one signal for the
chromosome 7 centromeric probe (green) and 7q31 probe (red).
Cytogenetics showing 45 XY -7
Cytogenetics-Monosomy-7
#00060362
 
FISH-Monosomy-7
#00060361
 

Advertisement intended for health care professionals