Advertisement intended for health care professionals

Acute myeloid leukemia with increased plasmacytoid dendritic cells (pDC-AML)

Author:  Andrew Levine; Girish Venkataraman; Harini Venkatraman Ravisankar; Karthik Ganapathi, 12/13/2021
Category: Myeloid Neoplasms and acute leukemia (WHO 2016) > Acute Myeloid Leukemia
Published Date: 12/13/2021

A 76-year-old male with a long history of anemia and thrombocytopenia underwent a bone marrow biopsy and diagnosed with myelodysplastic syndrome with single lineage dysplasia (MDS-SLD) and no increase in blasts (~ 1%). Karyotype analysis showed trisomy 13 in all 20 metaphases. Next-generation sequencing (NGS) identified pathogenic mutations in ASXL1, SETBP1, NF1 and SRSF2.

 Three years later, he presented with fatigue, splenomegaly and pancytopenia which led to bone marrow biopsy (discussed here). At that time, peripheral blood smear showed circulating blasts and atypical plasmacytoid mononuclear cells and the marrow showed involvement by acute myeloid leukemia with increased PDCs (pDC-AML).

Peripheral blood smear

The peripheral blood smear shows circulating blasts (solid arrow head) and atypical plasmacytoid mononuclear cells (open arrow head) with variably immature chromatin and moderate pale blue cytoplasm.

Peripheral-blood-smear
#00063911
 
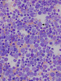
Bone Marrow Aspirate at low power

Wright -Giemsa stained bone marrow aspirate at low magnification shows increased blasts (arrow) against a background of trilineage haematopoiesis.

Bone-Marrow-Aspirate-at-low-power
#00063907
 
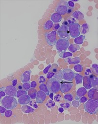
Bone Marrow Aspirate at high power

Wright-Giemsa stained Bone marrow aspirate at high magnification shows increased blasts (solid arrow-head) and atypical plasmacytoid mononuclear cells with immature chromatin and moderate to abundant pale blue cytoplasm (open arrow head).

Bone-Marrow-Aspirate-at-high-power
#00063908
 
Bone marrow biopsy

The bone marrow biopsy is hypercellular for age (~ 90% cellularity) with increased blasts against a background of trilineage hematopoiesis.

Bone-marrow-biopsy
#00063909
 
Marrow Biopsy Immunohistochemistry

The blasts are positive for CD34, CD123 and negative for TCL1.

Marrow-Biopsy-Immunohistochemistry
#00063910
 

Advertisement intended for health care professionals