Advertisement intended for health care professionals

Myeloid Sarcoma

Author:  Mir Alikhan, MD, 09/09/2021
Category: Myeloid Neoplasms and acute leukemia (WHO 2016) > Acute Myeloid Leukemia > Myeloid sarcoma
Published Date: 09/10/2021

The patient is a 66-year-old man who presents with abdominal and testicular pain. Physical exam showed multiple firm, non-tender subcutaneous nodules in the lower abdomen. Computerized tomography scans demonstrated diffuse adenopathy while a scrotal ultrasound revealed bilateral testicular masses. The patient underwent a cutaneous punch biopsy of a skin nodule near the left groin.

The epidermis was unremarkable. There was extensive involvement by an atypical diffuse infiltrate effacing the normal structures of the superficial dermis to the subcutaneous tissue. The cells were large to intermediate in size with irregular, slightly folded nuclei, fine nuclear chromatin, and often prominent nucleoli. They showed moderate amounts of cytoplasm. Immunohistochemical stains showed the neoplastic cells expressed CD4, CD56, CD33, and monocytic markers CD163 (partial), lysozyme and CD68. They were negative for B-cell markers, T-cell markers, CD34, CD117, MPO, CD123 and TCL1. NPM1 immunostain showed aberrant localization of Npm1 in the cytoplasm, suggestive of a pathogenic NPM1 mutation. A diagnosis of myeloid sarcoma was made. Next generation sequencing studies identified an NPM1 mutation, p.W288*.

 

Learning Points:

- Myeloid sarcoma (MS) is the extramedullary presentation of acute myeloid leukemia.

 

- The most common site of involvement is the skin, but may also involve mucous membranes, lymph nodes, central nervous system, gonads, or bones.

 

- MS, particularly with skin lesions, is common in the pediatric population, especially in cases harboring t(8;21) or associated with 11q23.3 translocations. In adults, a concurrent or a prior history of myeloid neoplasm (such as AML, MDS, or MPN) may be seen. MS may also manifest as an initial presentation of AML, as in this case.

 

- Morphologically, the cells may be blastic or more differentiated. They often resemble cells of a large B-cell lymphoma or blastic mantle cell lymphoma. Admixed immature eosinophils or megakaryocytic precursors, if present, are good clues to the diagnosis. Cases with monocytic differentiation often show delicate nuclear folds.

 

- Immunohistochemistry is crucial for the diagnosis. There is absence of most B- and T-cell markers (with the notable exception of cases associated with t(8;21) in which CD19 and/or PAX5 may be positive). T- or NK-cell markers such as CD4, CD7, and CD56 may be positive in a subset of cases. Myeloid markers, such as CD34, CD117, and myeloperoxidase, are commonly positive. More often, markers such as CD13, CD33, and more specific monocytic markers (such as CD68, lysozyme, and CD163) are seen.

 

- In this case, positivity for CD4 and CD56 suggested the differential diagnosis of blastic plasmacytoid dendritic cell neoplasm. However, lack of CD123 and TCL1 favored MS.

 

- Isolated cases of MS have improved survival. The prognostication of MS mirrors that of AML, with a need for cytogenetic and molecular studies.

 

-  NPM1 mutations are observed in about 20% of myeloid sarcoma cases, but are much more common in lesions involving the skin, in which over 50% of cases show NPM1 mutations. Those with NPM1 mutations often demonstrate negativity for CD34 as well as monocytic differentiation, as seen in this case

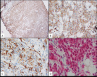
Myeloid sarcoma, skin biopsy, H&E

Figure 1: Punch biopsy showing extensive dermal infiltrate (A). Overlying epidermis is normal with Grenz zone intact (B). Atypical cells seen in the dermis dissecting through normal collagen (C). They show delicately folded nuclei, fine chromatin, and often prominent nucleoli (D).

Myeloid-Sarcoma-HE
#00063711
 
Myeloid sarcoma, skin biopsy, immunostains 1

Figure 2: The atypical cells show positivity for LCA (A), lysozyme (B), CD33 (C), and CD68 (D).

Myeloid-Sarcoma-immunostains
#00063710
 
Myeloid sarcoma, skin biopsy, immunostains 2

Figure 3: The neoplastic cells were also positive for CD4 (A), CD56 (B), and CD163 (C). NPM1 immunostain (D) showed nuclear and cytoplasmic positivity, suggestive of an NPM1 mutation (image courtesy of Dr. Sandeep Gurbuxani, University of Chicago).  The cells were negative for MPO, CD123, TCL1, CD34, CD117, B-cell markers, and T-cells markers (not shown).

Myeloid-Sarcoma-immunostains
#00063709
 
Myeloid sarcoma, skin biopsy, NPM1 mutation

Figure 4: Next-generation sequencing analysis on the FFPE tissue demonstrated a pathogenic NPM1 mutation (p.W288*): a four base-pair insertion leading to frameshift and alteration of the C-terminus of the Npm1 protein (where nuclear export signals reside), causing abnormal localization to the cytoplasm. The image is visualization of the NGS analysis using Integrated Genomics Viewer (IGV) software.

Myeloid-sarcoma-NPM1-mutation
#00063708
 

Advertisement intended for health care professionals