Advertisement intended for health care professionals

Mantle cell lymphoma expressing P53

Author:  Jeeva Alphonsa Joy; Girish Venkataraman, 02/26/2020
Category: Lymphoma: Mature B-cell and Plasma cell Neoplasms > Mantle cell Lymphoma
Published Date: 02/26/2020

This is a 62-year-old male with lymphadenopathy involving the neck, para-aortic lymph nodes, liver and spleen as well as bone marrow all involved by mantle cell lymphoma, mantle cell international prognostic index 7.4.

The patient was recommended treatment with bendamustine/rituximab versus R-CHOP.

The case shown below is morphologically compatible with mantle cell lymphoma and associated pleomorphic features expressing cyclin D1 and SOX11.  Nodal mantle cell lymphoma comprises nearly 80% of all mantle cell lymphoma and is typically positive for cyclin D1 and SOX11, the latter indicative of origin from unmutated naïve B cells that have not experienced germinal center reaction. In addition, two important adverse prognostic markers including p53 and Ki-67 (>30%) are both positive.

REF:
Jain P, Wang M. Mantle cell lymphoma: 2019 update on the diagnosis, pathogenesis, prognostication, and management. Am J Hematol. 2019;94(6):710–725

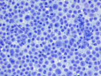
Figure 1 touch preparation and morphology

Giemsa stain (top left image) of touch imprint showing numerous pleomorphic moderate to large lymphoid cells with distinct nucleoli similar to those described in H&E sections.

H&E stain (top right image) of low power view of lymph node showing diffuse effacement in architecture of node with a vague nodular appearance.

H&E stain (bottom left image) of high power view of lymph node showing sheets of pleomorphic moderate to large lymphoid cells with convoluted nuclear membrane, clumped dispersed chromatin with single prominent central eosinophilic nucleoli. Also note mitosis in the center of field.

Pleomorphic cytomorphology also has an adverse prognosis.

MCLTouch
#00062958
 
MCLHE
#00062953
 
MCLHE
#00062954
 
Figure 2 Immunostains CD20, CD3, CD5

CD20 immunostain (top left image) of high power view showing pleomorphic lymphoid cells positive for CD20 indicating B cell lineage.

CD3 immunostain (top right image) of high power view showing CD3 positive scattered T cells. The pleomorphic lymphoma cells are CD3 negative.

CD5 immunostain (bottom left image) of high power view showing lymphoma cells positive for CD5. There are more CD5 positive cells compared to CD3 indicating that many CD5+ cells correspond to lymphomatous B cells.

MCLCD20
#00062951
 
MCLCD3
#00062949
 
MCLCD5
#00062950
 
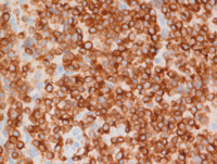
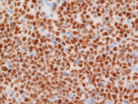
Figure 3 Immunostains LEF1, cyclin D1, Ki67, p53, bcl2

LEF1 immunostain (top left image) at high power view showing lack of staining for LEF1 in  lymphoma cells. The positive staining for LEF1 is seen in the scattered normal T cells present in the center of the field.

Cyclin D1 immunostain (top right image) at high power view showing positive staining in numerous pleomorphic lymphoid cells confirming the diagnosis of Mantle Cell Lymphoma.

Ki67 immunostain (middle left image) at high power view showing 30-40% proliferation index.

P53 immunostain (middle right image) at high power view showing positive nuclear staining in all lymphoma cells.

BCL2 immunostain (bottom left image) at high power view showing positive staining in lympoma cells.

MCLLEF1
#00062956
 
MCLCyclinD1
#00062952
 
MCLKi67
#00062955
 
MCLp53
#00062957
 
MCLbcl2
#00062959
 

Advertisement intended for health care professionals