Advertisement intended for health care professionals

Primary hyperoxaluria

Author:  Diksha Dev Yadav; Harbir Singh Kohli; Reena Das, 11/29/2019
Category: Red Cell: Other Disorders > Bone/metabolic disease > Oxalosis
Published Date: 09/06/2022

A 31 years old male from north India presented with a history of having undergone a renal transplant for chronic kidney disease and end stage renal disease (ESRD). Post-transplant he had a graft loss with anemia and rising serum creatinine. He was put on regular hemodialysis and investigated for the primary disease.

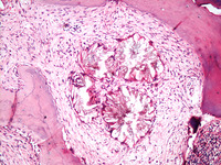
Investigations showed pancytopenia severe anemia with a hemoglobin of 6.9 gm/dl, corrected reticulocyte count of 1.28%, platelet count of 177 X10^9/L, total leucocyte count of 7.2 X10^9/L and a normal differential count on the peripheral smear. Urine examination and bone marrow examination were done. Bone marrow aspirate was aparticulate and markedly diluted. There were 40% erythroid precursors and many osteoblasts and osteoclasts were noted in BM aspirate smear and imprints. Bilateral trephine biopsies showed irregularly thickened bony trabeculae enclosing predominantly fibrocellular marrow spaces and foci of new bone formation (Figure 1). There were multiple deposits of greyish coloured refractrile crystals (arranged in floret like pattern) (Figure 2) and the reticulin was markedly increased (Figure 3). Under polarizing light the crystals appeared fluorescent (Figure 4). These are surrounded by foamy macrophages and foreign body type giant cells at places. Few marrow spaces (3-4, 10%) show normal hematopoiesis representing all three hematopoietic lineage elements. A diagnosis of primary hyperoxaluria with myelofibrosis was made.

A simultaneous liver and kidney transplant has been planned to manage the case.

 

Learning points

•      Primary hyperoxaluria is a rare condition characterized by recurrent kidney and bladder stones. The condition often results in end stage renal disease (ESRD).

•      This condition is inherited in an autosomal recessive pattern.

•      There are three types of primary hyperoxaluria that differ in their severity and genetic cause.

•      Mutations in the AGXT, GRHPR, and HOGA genes cause primary hyperoxaluria types 1, 2, and 3, respectively.

•      Treatment strategies include careful dietary advice to minimize oxalate ingestion and maximize fluid intake, use of pyridoxine, neutral phosphate and/or citrate to reduce urinary saturation with calcium oxalate.

•      Renal function must be monitored vigilantly and renal replacement therapy should be initiated promptly if renal clearance falls below a critical threshold.

•      Kidney transplantation alone or combined kidney-liver transplantation is clearly the preferred treatment of renal failure for PH patients.

Figure 1

Trephine biopsy showing marked peritrabecular fibrosis with centrally placed oxalate crystals.

Figure-1
#00062855
 
Figure 2

High power showing the oxalate crystals.

Figure-2
#00062856
 
Figure 3

Trephine biopsy showing markedly increased reticulin fibrosis.

Figure-3
#00062857
 
Figure 4

Fluorescent crystals of oxalate under the polarizing microscope.

Figure-4
#00062858
 

Advertisement intended for health care professionals