Advertisement intended for health care professionals

l

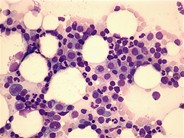
Relapsed multiple myeloma

Author: Peter Maslak, 11/01/2009
Category: Lymphoma: Mature B-cell and Plasma cell Neoplasms > Plasma Cell Neoplasm
Published Date: 11/01/2009

Advertisement intended for health care professionals