Advertisement intended for health care professionals

l

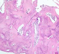
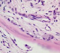
Metabolic bone disease

Author: Deepika V, MD, 09/08/2022
Category: Red Cell: Other Disorders > Bone/metabolic disease > Anemia of renal osteodystrophy
Published Date: 10/18/2022

61 yr old lady, a known case of chronic kidney disease, presenting with pancytopenia

Advertisement intended for health care professionals