Advertisement intended for health care professionals

l

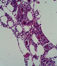
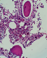
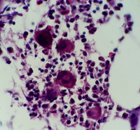
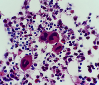
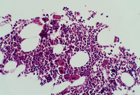
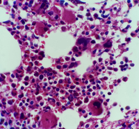
Immune thrombocytopenic purpura (ITP) bone marrow biopsy view

Author: Seyed Mohammad Sadegh Pezeshki, MSc, 06/17/2018
Category: Platelet and Megakaryocyte Disorders > Thrombocytopenia > Increased destruction or consumption of platelets
Published Date: 06/21/2018

immune thrombocytopenic purpura (ITP) is a common autoimmune disorder associated with immunologic degradation of platelets and reduced platelet counts in Peripheral blood and increase of megakaryocytes in Bone marrow of patients which leads to bleeding risk in patients. Here we present a biopsy of an adult male patient with ITP. The biopsy of bone marrow confirms the diagnosis

Advertisement intended for health care professionals