Advertisement intended for health care professionals

l

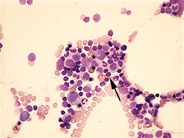
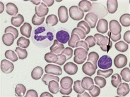
Follicular Lymphoma in the bone marrow

Author: Peter Maslak, 09/17/2012
Category: Lymphoma: Mature B-cell and Plasma cell Neoplasms > Low-grade B-cell lymphoma > Follicular Lymphoma
Published Date: 09/17/2012
Aspirate and biopsy

Advertisement intended for health care professionals