Advertisement intended for health care professionals

l

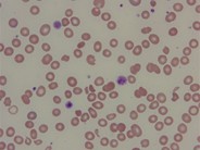
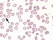
Peripheral Blood Smear of a Peripartum patient with Thrombotic Thrombocytopenic Purpura

Peripheral Blood Smear of a Peripartum patient with Thrombotic Thrombocytopenic Purpura
#00064282
Author: Mehndi Dandwani
Category: Red Cell: Hemolytic Anemia (HA) > Acquired non-immune HAs > Fragmentation Hemolysis > Microangiopathic Hemolytic Anemias > Thrombotic thrombocytopenic purpura
Published Date: 01/09/2023

Orange arrow showing Red Blood Cell (RBC) with basophilic stippling.

Black arrow  showing  Nucleated RBC suggesting increased erythropoiesis from RBC destruction.

Blue arrow showing Giant Platelets seen from high platelet turnover.

Advertisement intended for health care professionals