Advertisement intended for health care professionals

l

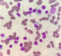
Peripheral smear

Peripheral smear
#00064221
Author: Rakesh Pimpaldara, Hematopathologist; Vipul Prajapati, Histopathologist
Category: Lymphoma: Mature B-cell and Plasma cell Neoplasms > Low-grade B-cell lymphoma > Lymphoplasmacytic lymphoma
Published Date: 11/28/2022

RBC rouleaux formation


Advertisement intended for health care professionals