Advertisement intended for health care professionals

l

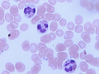
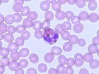
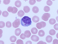
Chediak-Higashi syndrome - Neutrophils

Chediak-Higashi syndrome - Neutrophils
#00064186
Author: Geraldine Alejandro; Peter Maslak
Category: Laboratory Hematology > Basic cell morphology > Morphologic variants of white blood cells > Chediak-Higashi Syndrome  
Published Date: 10/18/2022

Neutrophils with distinctive large slate blue granules.


Advertisement intended for health care professionals