Advertisement intended for health care professionals

l

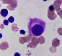
Megakaryocyte with non-lobated nucleus

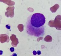
Megakaryocyte with non-lobated nucleus
#00064143
Author: Dr Deepika V, DNB, PDF Oncopath, ADL
Category: Myeloid Neoplasms and acute leukemia (WHO 2016) > Myelodysplastic Syndromes (MDS) > Myelodysplastic syndrome with isolated del(5q)
Published Date: 10/18/2022

Small sized megakaryocyte with non-lobated nucleus


Advertisement intended for health care professionals