Advertisement intended for health care professionals

l

Atypical Appearing Crystals in Crystal-Storing Histiocytosis with Low-Grade B-Cell Lymphoma

Atypical Appearing Crystals in Crystal-Storing Histiocytosis with Low-Grade B-Cell Lymphoma
#00064109
Author: Steven H Adams, MD; Jela Bandovic, MD; Yupo Ma, MD, PhD; Tahmeena Ahmed, MD
Category: Macrophage/Histiocytic and dendritic cell Neoplasms and disorders (2015)
Published Date: 09/06/2022

Crystal-storing histiocytosis (CSH), a rare finding in which crystalline matter accumulates in histiocyte cytoplasm, is generally associated with monoclonal immunoglobulin expressing disorders.

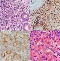
A 68-year-old woman with chronic gastritis presented with weight loss and abdominal pain. Duodenal and ileal biopsies revealed an atypical lymphoplasmacytic mucosal proliferation with kappa-restricted PCs (Figure 1a: H&E, 40x; Figure 1b: kappa, 40x). The findings were compatible with extranodal marginal zone lymphoma with PC differentiation.

Mesenteric lymph node biopsy showed sinus histiocytosis, with prominent CD68(+) (Figure 1c: 100x) CD1a(-) histiocytes containing abundant red spherical crystals (Figure 1d: H&E, 100x). PCR showed monoclonal IgH and/or IgK gene rearrangements. The lymph node findings were consistent with CSH.

CSH is rare and presents with histiocytes with abnormal intralysosomal accumulation of immunoglobulin, usually in settings of lymphoplasmacytic or plasmacytic neoplasms. The differential diagnosis of intracytoplasmic accumulation includes exogenous material, storage disorders, and tumors such as adult rhabdomyoma, amongst others. Case series have described crystal shapes as elongated, rectangular, or rhomboid.1 This case with spherical crystals represents an unusual morphologic appearance of CSH.

1 Dogan S, Barnes L, Cruz-Vetrano WP. Crystal-storing histiocytosis: report of a case, review of the literature (80 cases) and a proposed classification. Head Neck Pathol. 2012;6(1):111-120. doi:10.1007/s12105-011-0326-3

Advertisement intended for health care professionals