Advertisement intended for health care professionals

l

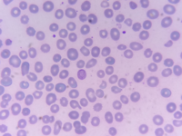
Cabot Rings in Severe Cobalamin Deficiency (Vitamin B12)

Cabot Rings in Severe Cobalamin Deficiency (Vitamin B12)
#00063997
Author: Martin Pacheco, MD; Leire Montoya, MD
Category: Red Cell: Other Disorders > Megaloblastic Anemia
Published Date: 04/20/2022

A 58 yr-old man with an ST-elevation MI was evaluated for macrocytic anemia, elevated indirect bilirrubin and LDH , and thrombocytopenia. Peripheral blood smear revealed the presence of marked anisocytosis and poikilocytosis, macroovalocytes, scatered schistocytes, microcytes and frequent RBCs with Cabot Rings. Vitamin B12 leves were <150 pg/mL (193-982 pg/mL). After supplementation, the abnormalities resolved. 

Advertisement intended for health care professionals