Advertisement intended for health care professionals

l

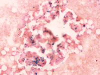
Figure e. Bone marrow aspirate smear 40X Perl’s stain showing Gaucher like cell taking up the iron stain.

Figure e. Bone marrow aspirate smear 40X Perl’s stain showing Gaucher like cell taking up the iron stain.
#00063993
Author: Dr. Mamta Soni; Dr. Supraja S; Dr. Gayathri K
Category: Myeloid Neoplasms and acute leukemia (WHO 2016) > Acute Myeloid Leukemia
Published Date: 04/20/2022

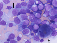
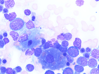
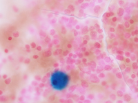
Gaucher like cells in AML


Advertisement intended for health care professionals