Advertisement intended for health care professionals

l

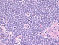
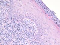
CD10-Positive Blastoid Variant of Mantle Cell Lymphoma

CD10-Positive Blastoid Variant of Mantle Cell Lymphoma
#00063925
Author: Behzad Poopak, DCLS, PhD Hematologist; Tahereh Madani, MSc; Amirali Vahedi, BSc
Category: Lymphoma: Mature B-cell and Plasma cell Neoplasms > Mantle cell Lymphoma > Blastoid variant
Published Date: 03/22/2022

The expression of CD10 is typically missing in MCL. Only about 5% of cases express CD10. However, this becomes much more frequent in cases with Blastoid morphology, an aggressive form of MCL in which cells mimic lymphoblasts with larger size and a dispersed chromatin pattern.

Advertisement intended for health care professionals