Advertisement intended for health care professionals

l

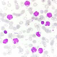
Flower cells

Flower cells
#00063875
Author: Luiz Arthur Leite, PhD; Renato de Jesus
Category: Lymphoma: Mature T and NK cell lymphoproliferations
Published Date: 12/10/2021

Lymphocytes with abnormal morphology, with irregular clover-shaped nucleus or nuclei like flower in a patient with adult T-cell leukemia/lymphoma. 1000x, Leishman stain.

Advertisement intended for health care professionals