Advertisement intended for health care professionals

l

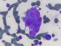
Osteoclast in bone marrow

Osteoclast in bone marrow
#00063786
Author: Isil Erdogan Özünal, MD; Emrah Kılıçaslan, MD
Category: Lymphoma: Mature B-cell and Plasma cell Neoplasms > Plasma Cell Neoplasm > Plasma cell myeloma
Published Date: 10/22/2021

Multinucleated osteoclast with granular cytoplasm and a plasma cell on bone marrow aspirate smear in multiple myeloma

Advertisement intended for health care professionals