Advertisement intended for health care professionals

l

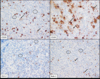
Classical Hodgkin lymphoma - IHC 2

Classical Hodgkin lymphoma - IHC 2
#00063752
Author: Mir Alikhan, MD
Category: Lymphoma: Hodgkin Lymphoma
Published Date: 10/19/2021

Additional immunostains shows that in most areas, CD20 was either weak (arrows) or negative (circles). Other areas show more prominent staining for CD20. Oct-2 and Bob.1 show occasional weak positivity in the atypical cells (arrows), but most were negative (circles).

Advertisement intended for health care professionals