Advertisement intended for health care professionals

l

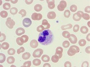
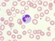
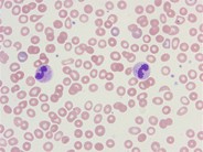
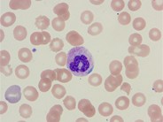
Toxic Granulation

Toxic Granulation
#00063729
Author: Perla Vicari, MD, PhD
Category: Laboratory Hematology > Basic cell morphology > Morphologic variants of white blood cells > Toxic granulation/Dohle bodies  
Published Date: 09/20/2021

Blood smear with neutrophils showing toxic granulation and cytoplasmic vacuolations (May-Grünwald-Giemsa stain).

Advertisement intended for health care professionals