Advertisement intended for health care professionals

l

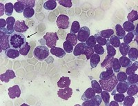
B-Cell acute lymphoblastic leukemia

B-Cell acute lymphoblastic leukemia
#00063728
Author: Perla Vicari, MD, PhD
Category: Myeloid Neoplasms and acute leukemia (WHO 2016) > Precursor Lymphoid Neoplasms > B-lymphoblastic leukemia/lymphoma
Published Date: 09/20/2021

Bone marrow aspirate showing blasts in this case of B-cell acute lymphoblastic leukemia. The arrow shows a mitotic figure (May-Grünwald-Giemsa stain).

Advertisement intended for health care professionals