Advertisement intended for health care professionals

l

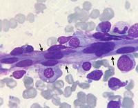
Bone marrow vessel

Bone marrow vessel
#00063719
Author: Perla Vicari, MD, PhD
Category: Laboratory Hematology > Basic cell morphology
Published Date: 09/20/2021

Bone marrow aspirate showing spindle-shaped capillary endothelial cells from a bone marrow vessel (arrows), May-Grünwald-Giemsa stain.

Advertisement intended for health care professionals