Advertisement intended for health care professionals

l

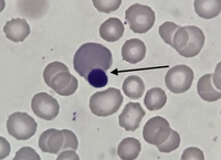
Erythroblastic Enucleation

Erythroblastic Enucleation
#00063695
Author: Perla Vicari, MD, PhD
Category: Laboratory Hematology
Published Date: 08/31/2021

Bone marrow smear showing an erythroblastic enucleation (Wright-Giemsa stain).

Advertisement intended for health care professionals