Advertisement intended for health care professionals

l

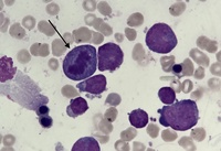
Mitosis in a bone marrow aspirate-2

Mitosis in a bone marrow aspirate-2
#00063691
Author: Perla Vicari, MD, PhD
Category: Laboratory Hematology
Published Date: 08/31/2021

Mitosis consists of four basic phases: prophase, metaphase, anaphase, and telophase. Bone marrow aspirate showing a mitotic figure in metaphase: chromosomes line up perfectly from end to end along the center (equator) of the cell (arrow); Wright-Giemsa stain.

Advertisement intended for health care professionals