Advertisement intended for health care professionals

l

Stomatocytes and COVID-19

Stomatocytes and COVID-19
#00063633
Author: Luiz Arthur Leite, PhD; Fabiana Conti, MD; Renato Sousa de Jesus
Category: Laboratory Hematology > Basic cell morphology >  Red Blood Cell shape abnormalities > Stomatocytes
Published Date: 08/12/2021

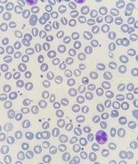
55 year-old patient with severe COVID-19 admitted to the ICU. Blood film showing stomatosis after COVID-19 infection with liver injury (AST – 149 U/L, ALT- 147 U/L). Stomatocytosis is a rare condition of erythrocytes, in which a mouth-shaped or cleft pattern replaces the normal pallor of the central area, which is congenital pra acquired. Acquired stomatocytosis with hemolytic anemia occurs primarily with recent excessive alcohol intake. Stomatocytes in the peripheral smear and hemolysis disappeared within about 2 weeks of alcohol withdrawal. Leishman, 1000X.TO

Advertisement intended for health care professionals