Advertisement intended for health care professionals

l

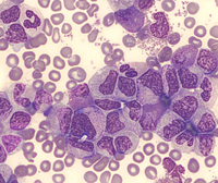
Bone Marrow Aspirate

Bone Marrow Aspirate
#00063553
Author: Laila Alsuhaibani; Lulwa Alshamari
Category: Myeloid Neoplasms and acute leukemia (WHO 2016) > Myeloproliferative Neoplasms (MPN) > Chronic Myelogenous Leukemia (CML), BCR-ABL1+
Published Date: 06/08/2021

A bone marrow aspirate shows granulopoiesis hyperplasia with myelocytes peak and no excess of blasts.


Advertisement intended for health care professionals